#MTPathUnknown #200 A
This tweet is 8 images (1/9).
Purpose: discuss use of postmortem histology @AmberMBerumen
For medical students & residents: what is diagnosis for each?
For all, how many of these microscopic exams were NECESSARY to determine underlying cause of death?
This tweet is 8 images (1/9).
Purpose: discuss use of postmortem histology @AmberMBerumen
For medical students & residents: what is diagnosis for each?
For all, how many of these microscopic exams were NECESSARY to determine underlying cause of death?
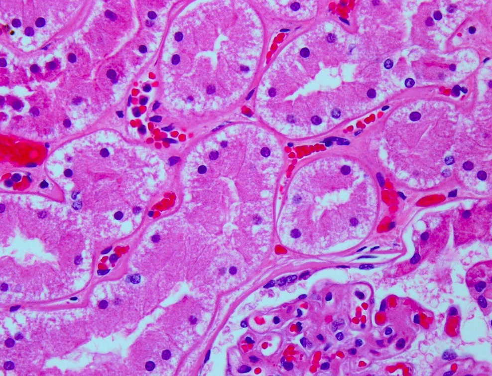
#MTPathUnknown #200 C
Image Three (3/9)
For medical students: what is the histologic abnormality (just describe what you see-I don't expect you to necessarily know the specific name/disease association)
For pathology residents: what is the likely disease association(s)?
Image Three (3/9)
For medical students: what is the histologic abnormality (just describe what you see-I don't expect you to necessarily know the specific name/disease association)
For pathology residents: what is the likely disease association(s)?
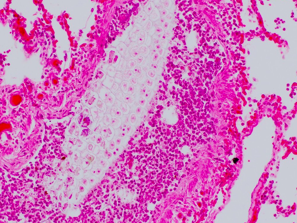
#MTPathUnknown #200 G
Image Seven (7/9)
For medical students--the location is difficult, but try to think about what you are seeing
Image Seven (7/9)
For medical students--the location is difficult, but try to think about what you are seeing
#MTPathUnknown #200
9/9
What was utility of each image (if not necessary to determine cause of death)?
This tweet is subjective, and not absolute, but I hope it will help discuss potential reasons to use postmortem histology.
My explanatory post tomorrow will discuss these ideas
9/9
What was utility of each image (if not necessary to determine cause of death)?
This tweet is subjective, and not absolute, but I hope it will help discuss potential reasons to use postmortem histology.
My explanatory post tomorrow will discuss these ideas
#MTPathUnknown #200 Explanation (1/12)
As far as use of postmortem histology I would think major uses are 1) identify cause of death 2) confirm gross impression (or refute gross impression
) & 3) help date injuries. I think histology can also identify additional findings that..
As far as use of postmortem histology I would think major uses are 1) identify cause of death 2) confirm gross impression (or refute gross impression
) & 3) help date injuries. I think histology can also identify additional findings that..
#MTPathUnknown #200 Explanation (2/12)
...contribute to understanding of extent of disease process(es) that individual has, & can help diagnosis incidental masses identified during autopsy. Routine use of microscopic examination at forensic autopsy varies by practitioner.
...contribute to understanding of extent of disease process(es) that individual has, & can help diagnosis incidental masses identified during autopsy. Routine use of microscopic examination at forensic autopsy varies by practitioner.
#MTPathUnknown #200 A (3/12)
Explanatory slide
@AhemdDr @NW_8408 @anueru432 @khawlam69204456 @bhardwaj_swat @patharchist Good ID!
Explanatory slide
@AhemdDr @NW_8408 @anueru432 @khawlam69204456 @bhardwaj_swat @patharchist Good ID!
#MTPathUnknown #200 B (4/12)
Explanatory slide
@Mi79451145 @NW_8408 @AhemdDr @bhardwaj_swat @Veggiecupcakes1 @dwnbird Good ID!
Explanatory slide
@Mi79451145 @NW_8408 @AhemdDr @bhardwaj_swat @Veggiecupcakes1 @dwnbird Good ID!
#MTPathUnknown #200 C (5/12)
Explanatory slide
@NW_8408 @khawlam69204456 @anueru432 @AhemdDr @GershonMD @BennettEmpty @dwnbird Good ID!
Explanatory slide
@NW_8408 @khawlam69204456 @anueru432 @AhemdDr @GershonMD @BennettEmpty @dwnbird Good ID!
#MTPathUnknown #200 D (6/12)
Explanatory slide
@bhardwaj_swat @AhemdDr @khawlam69204456 @NW_8408 @patharchist @anueru432 @formalinfixed @dwnbird Good ID!
Explanatory slide
@bhardwaj_swat @AhemdDr @khawlam69204456 @NW_8408 @patharchist @anueru432 @formalinfixed @dwnbird Good ID!
#MTPathUnknown #200 E (7/12)
Explanatory slide
@AhemdDr @patharchist @NW_8408 @anueru432 @khawlam69204456 @bhardwaj_swat @Veggiecupcakes1 @formalinfixed @dwnbird Good ID!
Explanatory slide
@AhemdDr @patharchist @NW_8408 @anueru432 @khawlam69204456 @bhardwaj_swat @Veggiecupcakes1 @formalinfixed @dwnbird Good ID!
#MTPathUnknown #200 F (8/12)
Explanatory slide
@Veggiecupcakes1 @patharchist @AhemdDr @khawlam69204456 @anueru432 @BennettEmpty @dwnbird Good ID!
Explanatory slide
@Veggiecupcakes1 @patharchist @AhemdDr @khawlam69204456 @anueru432 @BennettEmpty @dwnbird Good ID!
#MTPathUnknown #200 G (9/12)
Explanatory slide
@AhemdDr @umma_arif @khawlam69204456 @NW_8408 @patharchist @anueru432 @DrMissWV Good ID!
Explanatory slide
@AhemdDr @umma_arif @khawlam69204456 @NW_8408 @patharchist @anueru432 @DrMissWV Good ID!
#MTPathUnknown #200 H (10/12)
Explanatory slide
@formalinfixed @dwnbird @AmberMBerumen @Mi79451145 @umma_arif @anueru432 @patharchist @khawlam69204456 @AhemdDr @NW_8408 Good ID
Explanatory slide
@formalinfixed @dwnbird @AmberMBerumen @Mi79451145 @umma_arif @anueru432 @patharchist @khawlam69204456 @AhemdDr @NW_8408 Good ID
#MTPathUnknown #200 Explanatory slide (11/12)
So, in answer to my original question-only 1 (& a half) of these 8 images was necessary to establish cause of death (others either did not establish the underlying cause of death, or were not necessary)--as I said, this is subjective
So, in answer to my original question-only 1 (& a half) of these 8 images was necessary to establish cause of death (others either did not establish the underlying cause of death, or were not necessary)--as I said, this is subjective
#MTPathUnknown #200 (12/12)
Explanatory slide
Thank you @AmberMBerumen for the inspiration to create this tweet--I hope that answered some of your questions about the utility of postmortem histology
Explanatory slide
Thank you @AmberMBerumen for the inspiration to create this tweet--I hope that answered some of your questions about the utility of postmortem histology
Read on Twitter