Question:
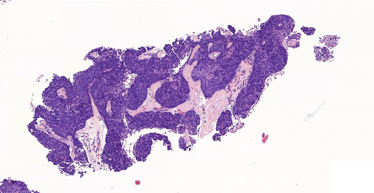
Based in the initial images, what is your first impression?
Based in the initial images, what is your first impression?
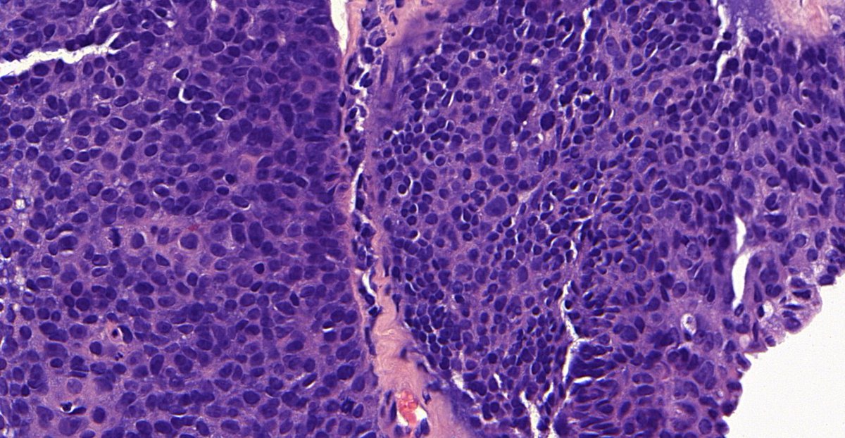
Based on further IHC, what do you now favour?
*carcinoma
*carcinoma
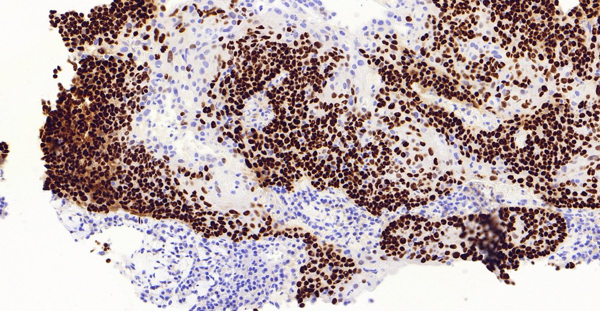
More IHC:
TdT -
in associated lymphocytes
MUC1
TdT -
in associated lymphocytesMUC1
Diagnosis:
Thymic carcinoma
Thymic carcinoma
Question:
Thymic carcinomas are associated with?
Thymic carcinomas are associated with?
1/ This rare aggressive tumour has no real association apart from older age (mean 50 yo) and a slight predilection for males.
2/ There is no known association with myasthenia gravis. https://pubmed.ncbi.nlm.nih.gov/22706865/
2/ There is no known association with myasthenia gravis. https://pubmed.ncbi.nlm.nih.gov/22706865/
True or false?
The immunohistochemical stain TdT can help differ between a thymoma and carcinoma.
The immunohistochemical stain TdT can help differ between a thymoma and carcinoma.
3/ These tumour tend to lose their immature lymphocyte population (i.e. the ability to “nurture” immature T-cells).
4/ Thymic ca also express CD5 and CD117, which are rare in thymomas (beware that CD117 can stain other tumours, including germinomas). https://www.ncbi.nlm.nih.gov/pmc/articles/PMC4503108/
4/ Thymic ca also express CD5 and CD117, which are rare in thymomas (beware that CD117 can stain other tumours, including germinomas). https://www.ncbi.nlm.nih.gov/pmc/articles/PMC4503108/
Question:
The most common type of thymic carcinoma is?
The most common type of thymic carcinoma is?
5/ This tumour can have several histological types. Some include:
Squamous cell ca
Spindle cell ca
Basaloid ca
Lymphoepithelioma-Like Ca*
Sarcomatoid Ca/Carcinosarcoma
Clear Cell Ca (can have EWSR1 fusion, of course!)
6/ The most common type is a squamous cell ca.
Squamous cell ca
Spindle cell ca
Basaloid ca
Lymphoepithelioma-Like Ca*
Sarcomatoid Ca/Carcinosarcoma
Clear Cell Ca (can have EWSR1 fusion, of course!)6/ The most common type is a squamous cell ca.
Lastly, True or false?
The mucoepidermoid carcinoma (MEC) type often harbours a MAML2 rearrangement.
The mucoepidermoid carcinoma (MEC) type often harbours a MAML2 rearrangement.
7/ Primary MEC of the thymus are rare but often harbour MAML2 rearrangements. (?may arise from thymic cyst walls?)
8/ This helps separate them from adenosquamous ca (main DDx, also rare) but history is need to separate from metastatic disease. https://pubmed.ncbi.nlm.nih.gov/24134933/
8/ This helps separate them from adenosquamous ca (main DDx, also rare) but history is need to separate from metastatic disease. https://pubmed.ncbi.nlm.nih.gov/24134933/
Read on Twitter