Question:
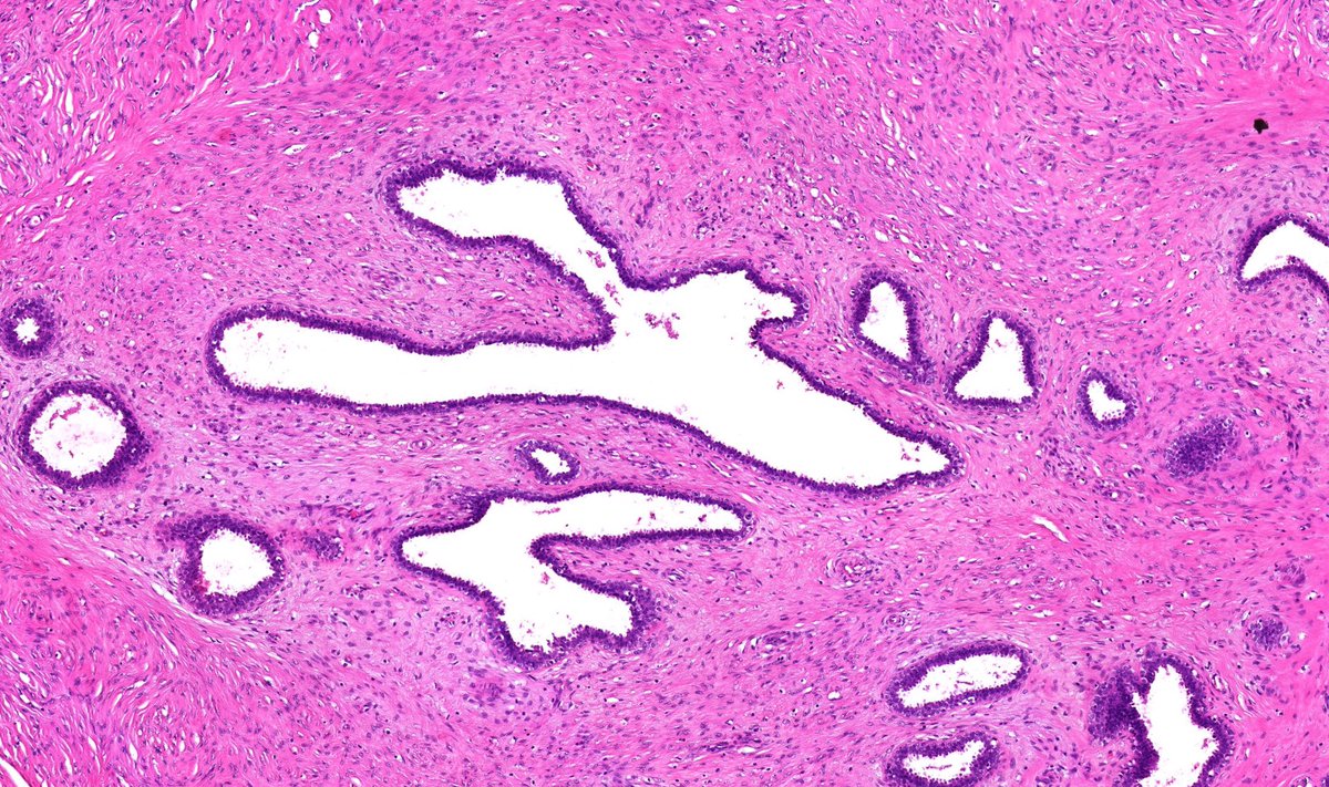
Based on the initial images, what is your impression?
Based on the initial images, what is your impression?
Diagnosis:
Fibroadenoma
(Old case)
Fibroadenoma
(Old case)
True or false?
These tumours are thought to arise from ectopic breast tissue.
These tumours are thought to arise from ectopic breast tissue.
1/ Original thought to arise from ectopic breast tissue, it is now thought they arise from anogenital mammary-like glands (which are normal structures).
2/ Other lesions such as hidradenoma papilliferum are thought to arise from these.
https://pubmed.ncbi.nlm.nih.gov/21169735/
2/ Other lesions such as hidradenoma papilliferum are thought to arise from these.
https://pubmed.ncbi.nlm.nih.gov/21169735/
Question:
Which of the following are also thought to arise from anogenital mammary-like glands (AGMLG)?
Which of the following are also thought to arise from anogenital mammary-like glands (AGMLG)?
3/ Some other tumours that are associated with these glands are phyllodes tumour, chondroid syringoma & adenocarcinoma of AGMLG.
4/ Interesting, I cannot find any info on PLAG1 rearrangements in chondroid syringoma/pleomorphic adenomas of the vulva.
https://pubmed.ncbi.nlm.nih.gov/22532914/
4/ Interesting, I cannot find any info on PLAG1 rearrangements in chondroid syringoma/pleomorphic adenomas of the vulva.
https://pubmed.ncbi.nlm.nih.gov/22532914/
True or false?
Lactational change can be seen in these tumours.
Lactational change can be seen in these tumours.
5/ Fibroadenomas have been described with numerous morphological changes such as:
”Pseudoangiomatous stromal hyperplasia”
Lactational change
Usual ductal hyperplasia
Multinucleate stromal giant cells
https://pubmed.ncbi.nlm.nih.gov/20035149/
”Pseudoangiomatous stromal hyperplasia”
Lactational change
Usual ductal hyperplasia
Multinucleate stromal giant cellshttps://pubmed.ncbi.nlm.nih.gov/20035149/
Last question:
True or false?
Fibroadenomas of the vulva are benign.
True or false?
Fibroadenomas of the vulva are benign.
6/ These tumours are very rare, usually occurring in women their reproductive years, but cases outside have been reported.
7/ They are generally considered benign, but rare cases of recurrent tumours have been documented. https://pubmed.ncbi.nlm.nih.gov/30732503/
7/ They are generally considered benign, but rare cases of recurrent tumours have been documented. https://pubmed.ncbi.nlm.nih.gov/30732503/
Read on Twitter