Check out our preprint where we directly compare the modulatory effects of learning and attention on the same identified excitatory and inhibitory neurons in mouse V1. Tweetprint below
https://www.biorxiv.org/content/10.1101/2021.01.31.429053v1
This work was done with @jasper_poort @k47h4 @ant_blot Angus Chadwick, Maneesh Sahani, @ClopathLab @TFlogel and Sonja Hofer.
We focused on two phenomena essential for survival: Learning, and Attention
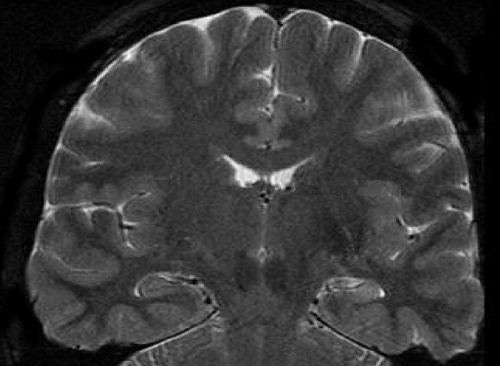
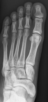
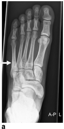
Lets limit ourselves to the visual system: With practice, we can get better at performing fine visual tasks, even in adulthood. Consider the challenge of finding a tumor in a brain scan. Or a stress fracture in an X-ray. Can you?
With training, experts can do these tasks very accurately. Here is the tumor and fracture indicated, not easy! Luckily the visual system is plastic enough to LEARN these discriminations.
This ability of perceptual learning is believed to rely on cortical plasticity, even in early visual cortex (or auditory/somatosensory cortex for sound/touch tasks). Cortical neurons can change their responses to enhance their processing of relevant stimuli over days.
We found something similar in mouse V1: As mice learnt a go-no go visual discrimination task, they became experts over 7-9 days, and their neurons in V1 also got better at telling the two stimuli apart. Here's an example neuron which increased stimulus selectivity over learning
Another crucial way the brain adapts to changing demands is through ATTENTION. This is superbly demonstrated by this awareness test video, check it out if you haven't already:
Animals do better at tasks when they attend to stimuli, and neurons in cortex show enhanced processing of stimuli when they are attended vs ignored. Again, we found similar things happening in mice when they attended vs ignored the same visual stimuli. Here's an example V1 neuron
So this sets up our question: Given that visual Learning and Attention serve a similar purpose: to enhance behavioural performance, and given that V1 neurons show enhanced stimulus selectivity in both cases, is there overlap in the underlying mechanisms of Learning and Attention?
To check this, one needs to measure stimulus responses of the same neurons over the course of learning, and then continue to record from the same neurons as the animals are trained to switch between attending and ignoring the same visual stimuli.
We did this using 2-photon imaging on behaving mice (7-9 days learning visual task, 1-2 more days - expert at attention task), and also did post-hoc immunostaining & 3D image registration to identify 3 classes of GABAergic interneurons in the same tissue: PV, SOM and VIP cells
On average, we found a similar profile of selectivity changes across the 4 cell classes: SOM and VIP cells did not change stimulus selectivity much, but pyramidal and PV cells increased selectivity, both during learning and attention
Now the key question is, what happens at the level of single neurons? If a given neuron is highly modulated by learning, is it also highly modulated by attention?
The answer is no! A neuron’s degree of modulation during learning was uncorrelated with its degree of modulation by attention. This suggests that long- and short-timescale cortical changes rely on distinct neural mechanisms, even when these changes are similar on average
What do these distinct mechanisms look like? This is of course a huge question. Here is our 2c worth: First, the increased selectivity after learning mainly arose from selective suppression of responses but from selective enhancement as well as suppression during attention
Second: Learning and attention were associated with different changes in functional interactions between excitatory and multiple inhibitory cell classes
Finally, computational modeling indicated that learning relies on reorganization of functional interactions in the local circuit, but attention relies on multiplicative top-down signals that target specific cell-classes.
There's more to see in the paper, drop me and @jasper_poort a line if you have any feedback. Thanks!
Also, shameless plug: I have a postdoc and tech position open in my lab at King's College London, please write to me if you are interested! Here is a neuron-tree from Greenwich today, just for fun
You can follow @adilgkhan.
Tip: mention @twtextapp on a Twitter thread with the keyword “unroll” to get a link to it.

Latest Threads Unrolled:

By continuing to use the site, you are consenting to the use of cookies as explained in our Cookie Policy to improve your experience.