[1/5] Distal femur periprosthetic fracture. You’d be hard pressed to find someone who wouldn’t operate on this. However, I’ve seen non-ambulators with this shear pattern treated nonop & then that proximal medial fragment slowly comes out of the skin and becomes an open fx—beware!
[2/5] From my prior years of being “alone” (no residents) I like to make life easier for myself so this was automatic small incision & clamp. I use fluoro heavily to help me with incision planning, so here I am drawing lines along freer to place my incision in the best position.
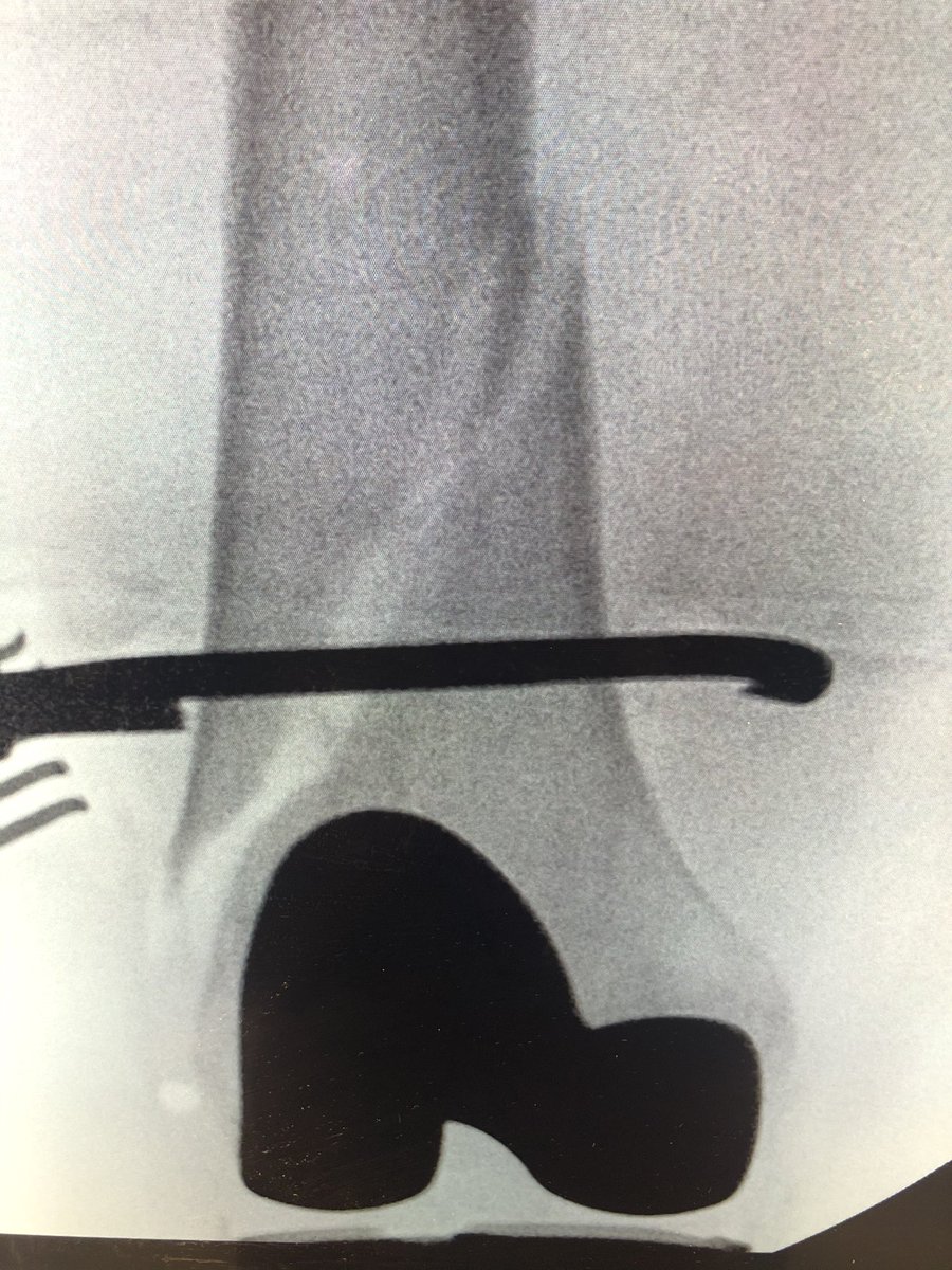
[3/5] Here is the Synthes colinear clamp reducing the fracture. Length was achieved by my resident pulling on the leg, and I got the correct rotation by putting my finger through the incision on the anterior femur, feeling the stepoff, and rotating the leg until it felt “right.”
[4/5] Clamp then stayed on the entire time and retrograde nail went in. Here I am forced into posterior starting point which I knew would give me a slight malreduction problem in the end; I aimed to minimize that by keeping the clamp on until nail was locked proximal and distal.
[5/5] Finals. Looks great on AP, but on lateral we still ended up with a little malreduction because starting point limited. But bone was good and 3 screws in distally, so I was not concerned. If you want a paper about which knees have a posterior start: https://pubmed.ncbi.nlm.nih.gov/24929282/ 
You can follow @InvictaOrtho.
Tip: mention @twtextapp on a Twitter thread with the keyword “unroll” to get a link to it.

Latest Threads Unrolled:

By continuing to use the site, you are consenting to the use of cookies as explained in our Cookie Policy to improve your experience.