Acute BB gun injury with retained pellet to hand
Retained wood piece in volar fingertip-22 days ago. X-rays neg. Diagnosed with felon. Standoff pad in sterile probe sheath used. Removed with alligator forceps.
Retained wood splinter with halo seen. Same case from above where removal shown. Standoff pad used.
Retained wood splinter in heel with posterior shadowing seen. Injury happened one day ago. Standoff pad used.
Remote bullet wound--2 years ago. Patient admits to repetitively rubbing it and states it feels irritated/painful so presented to ED.
Broken needle seen posterior to EJ. Startled during police raid while injecting and needle broke off. FB seen short axis with posterior reverberation.
Piece of glass at MCP jt after closed fist injury with window 1 day ago. Note movement of FB with flexion. Glass attached to extensor tendon.
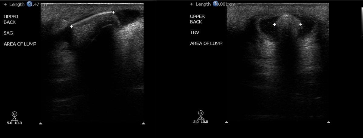
Stepped on something 10 days ago now with cellulitis, abscess, lymphangitis.
Glass FB seen in near field. Image would have been better if water bath or standoff pad used.
Piece of bamboo broke off in arm 5 days ago. Seen at another facility. Xrays negative. Given Keflex and sent home. Now with increasing pain and early redness. Importance of POCUS for wood/vegetative FBs.
Broken toothpick in sole of foot. Injury happened 5 days ago. Now can't walk. Sag image of FB.
Transverse view of toothpick FB with posterior shadowing noted. Note presence of fluid surrounding the FB.
Broken wood splinter in distal volar pad of finger removed with alligator forceps.
Clinical image of wood FB removal from finger with alligator forceps.
You can follow @RJonesSonoEM.
Tip: mention @twtextapp on a Twitter thread with the keyword “unroll” to get a link to it.

Latest Threads Unrolled:

By continuing to use the site, you are consenting to the use of cookies as explained in our Cookie Policy to improve your experience.