35 yr-old fem presents to an outside ER w/several wks of increasing (R) groin pain. She's an avid runner but otherwise healthy. What do you see? What's your differential dx? What if xrays are negative for any findings? Any additional tests to order?🧐 #interestingcase #thread
11 days ltr, pt returns to ER w/severe pain in (R) hip. What is the Dx? Pt has a displaced femoral neck Fx. She likely had a femoral neck stress Fx, which would have been Dx'd w/MRI. Once the Fx has completed, the course of Tx & Px change dramatically. What would you do now?
Pt has surgery at an outside hospital, where a surgeon performs a closed reduction and percutaneous screw placement, and is made non-weightbearing x 6 wks. Is this what you would do? How is the reduction? Which implant would you use? #OrthoTwitter #MedTwitter
8 wk follow-up xrays. Pt has persistent pain in the hip. What do you see? Is the fracture healing?
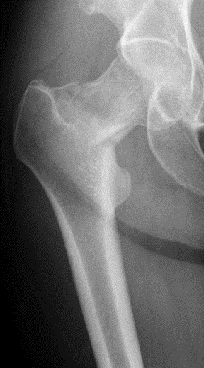
Pt has an impending femoral neck nonunion. She has varus collapse and shortening of the Fx. At this point, the Fx is unlikely to heal w/out intervention. Options include a total hip arthroplasty (THA) or a salvage procedure, namely a valgus intertrochanteric osteotomy.
The patient is young for a THA and preferred to avoid #hipreplacement. This is the pre-op plan for her procedure. #osteotomy
Intra-op fluoro imaging showing a 20 degree lateral closing wedge #osteotomy Both planning and performing the procedure take several hours. The procedure converts shear forces across the femoral neck nonunion into compressive forces, thus facilitating healing.
The wedge of bone has been removed, and the chisel for the blade plate has been inserted, both in accordance with the pre-op plan 📝
The plate is inserted. Notice the wire above the plate- this is to ensure no rotatory #malalignment is created after the #osteotomy
Post-op xrays after the procedure. The overall alignment of the hip has been restored. The patient is given crutches and toe-touch restrictions for 6 weeks #postop #traumacase #orthopaedics
1 yr follow-up xrays. Both the femoral neck nonunion & the #osteotomy were healed by 3 mos. Pt has returned to all activities & has no pain🙌This operation, although originally described by Pauwels almost 100 yrs ago, is just as relevant & elegant today!
Case by: Dr. Tim Achor
You can follow @ortho_ut.
Tip: mention @twtextapp on a Twitter thread with the keyword “unroll” to get a link to it.

Latest Threads Unrolled:

By continuing to use the site, you are consenting to the use of cookies as explained in our Cookie Policy to improve your experience.