Question:
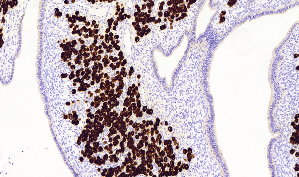
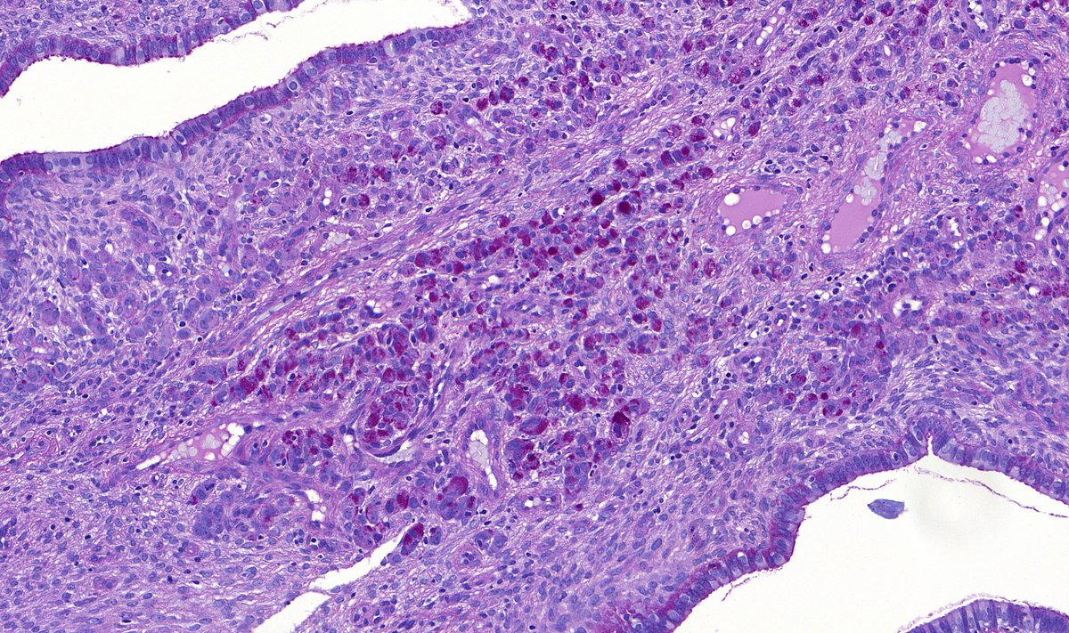
Base on initial image, what type of cells could these be in the stroma?
Base on initial image, what type of cells could these be in the stroma?
Question:
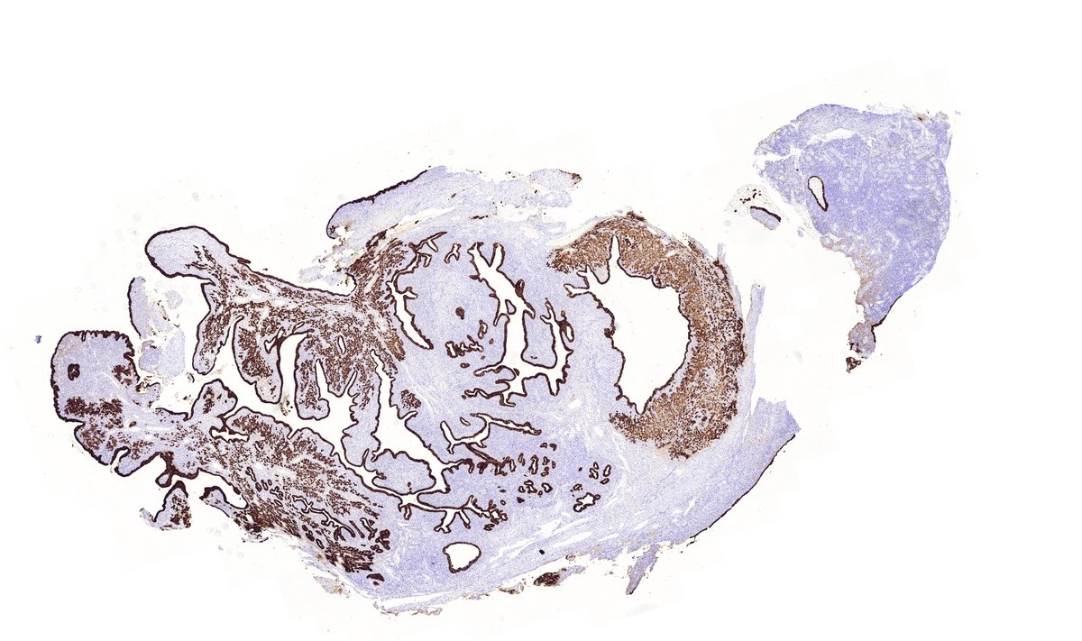
Based on the limited immunohistochemistry supplied, what type of signet-ring carcinoma would you favour?
Based on the limited immunohistochemistry supplied, what type of signet-ring carcinoma would you favour?
ER 
PAX-8

PAX-8
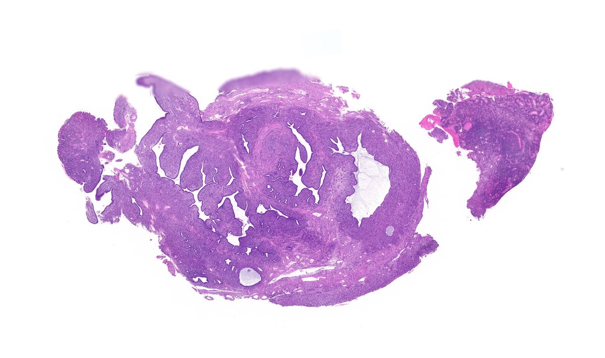
Diagnosis:
Metastatic gastric adenocarcinoma (signet ring cell carcinoma)(Patient had a past Hx of gastric carcinoma).
#GIpath
(Colleagues case)
Question
Which of the following organs is more likely to have is metastasis?
Which of the following organs is more likely to have is metastasis?
1/ Metastatic disease to the cervix and uterus is uncommon, with the more common sites being the ovary or vagina.
2/ Direct spread of an endometrial carcinoma is more common than metastatic disease in the cervix https://pubmed.ncbi.nlm.nih.gov/29750707/
2/ Direct spread of an endometrial carcinoma is more common than metastatic disease in the cervix https://pubmed.ncbi.nlm.nih.gov/29750707/
True or false?
CDX-2 can be positive in endocervical carcinomas but not in endometrioid carcinomas.
CDX-2 can be positive in endocervical carcinomas but not in endometrioid carcinomas.
3/ CDX-2 is a transcription factor that is important in the development of the intestinal tract.
4/ Other tumours shown to occasional express it are endometrioid, ovarian mucinous and endocervical* carcinomas.
*(not limited to gastric type) https://pubmed.ncbi.nlm.nih.gov/18753946/
4/ Other tumours shown to occasional express it are endometrioid, ovarian mucinous and endocervical* carcinomas.
*(not limited to gastric type) https://pubmed.ncbi.nlm.nih.gov/18753946/
True or false?
PASD is useful in telling muciphages from signet-ring cells.
PASD is useful in telling muciphages from signet-ring cells.
5/ As much as it pains me to say, PASD is of limited value here as muciphages can be positive (hints in the name!).
6/ Little bit off topic, but signet-ring cell change (i.e. benign change) in the stomach can be confused with gastric ca https://pubmed.ncbi.nlm.nih.gov/15252323/
6/ Little bit off topic, but signet-ring cell change (i.e. benign change) in the stomach can be confused with gastric ca https://pubmed.ncbi.nlm.nih.gov/15252323/
True or false?
Lastly, primary signet ring carcinoma of the cervix is MORE COMMON that a deposit of metastatic gastric carcinoma?
Lastly, primary signet ring carcinoma of the cervix is MORE COMMON that a deposit of metastatic gastric carcinoma?
7/ Primary signet-ring cell carcinoma of the cervix is very rare, with metastasis from a primary gastric tumour being more likely (still rare though).
8/ Care needs to be taken as CDX-2 and CK20 can be positive in both.
9/ History is super important. https://pubmed.ncbi.nlm.nih.gov/20173504/
8/ Care needs to be taken as CDX-2 and CK20 can be positive in both.
9/ History is super important. https://pubmed.ncbi.nlm.nih.gov/20173504/
Read on Twitter