Body CT Pearls
& Pitfalls
: Take 8
History of left kidney clear cell renal cell carcinoma status post nephrectomy. What is your recommendation based on this surveillance CT scan?
@allaf_mo @m_e_nielsen @HopkinsNucs @Hopkins_Rad @theAPDR @ACRRFS @ctisus
& Pitfalls
: Take 8
History of left kidney clear cell renal cell carcinoma status post nephrectomy. What is your recommendation based on this surveillance CT scan?
@allaf_mo @m_e_nielsen @HopkinsNucs @Hopkins_Rad @theAPDR @ACRRFS @ctisus
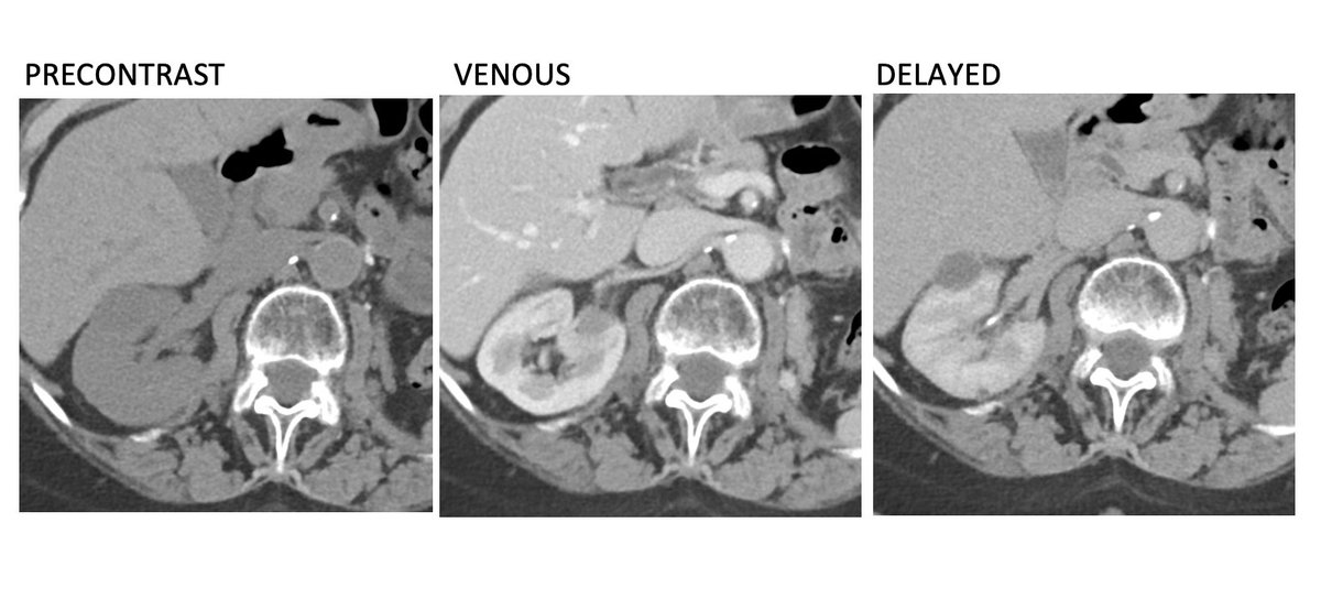
1/ History of left kidney clear cell renal cell carcinoma status post nephrectomy. What is your recommendation based on this surveillance CT scan?
2/ The majority of renal cell carcinomas are clear cell variant, the most vascular & malignant variant. Arterial phase imaging (lacking from above study) is critical to identify recurrent disease. Vascular metastases become invisible on venous & delayed phases. (Answer is D)
7/ Bottom line...reduction of unnecessary radiation exposure is our priority, but don't eliminate the arterial phase in patients with a history of clear cell RCC or you will miss early recurrence and metastatic disease.
8/ Another caveat: pt with vascular renal mass & questionable adrenal nodule. Don't repeat imaging - measure arterial & venous HU. RCC met often hypervascular with arterial > venous & arterial >>>100 HU. Adenomas gradually enhance to peak on venous phase & ≤ 130 HU on venous.
Read on Twitter