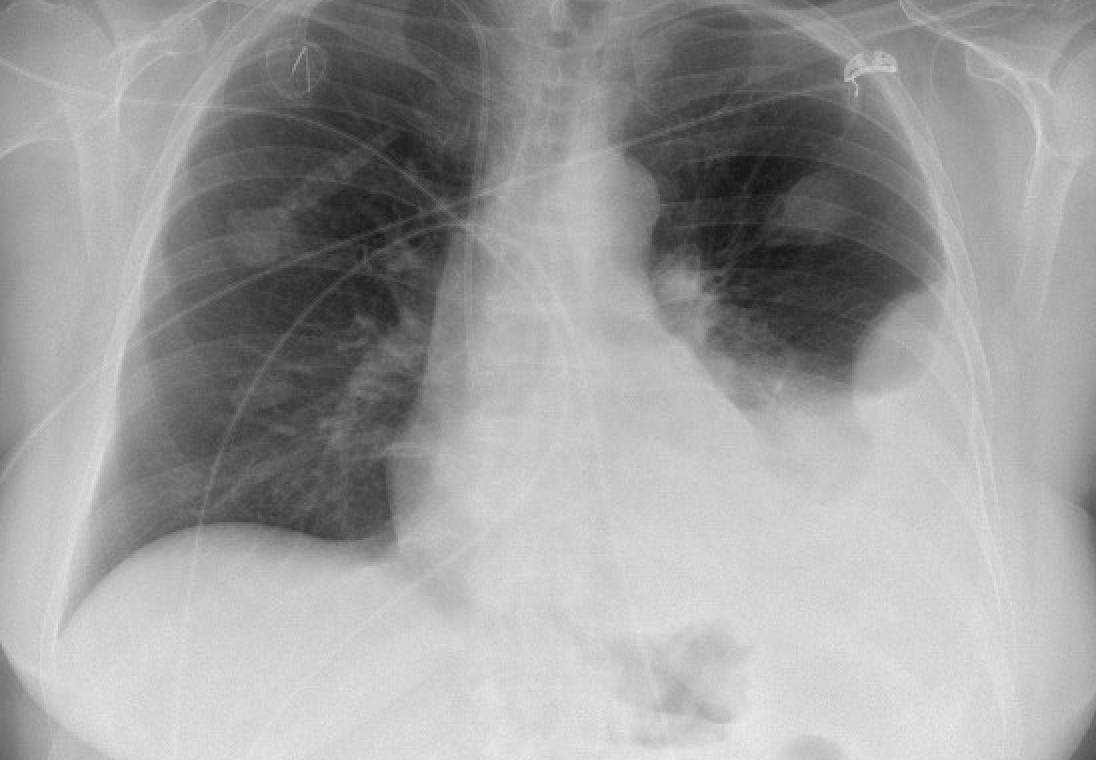
Hi all - quick procedural #IMPOCUS case for y'all today. We have a 75 yo M w metastatic lung CA, consulted for therapeutic thoracentesis. Initial CXR here
1/
1/
Pre-thoracentesis #POCUS of left posterior inferior view. Thoracentesis performed without complication, 1.5L removed and pt remained asymptomatic.
2/
2/
3/
Post thoracentesis effusion (apologies for flipped image). Given uncomplicated procedure, routine CXR not performed based off the following guidlines: https://www.journalofhospitalmedicine.com/jhospmed/article/157109/hospital-medicine/recommendations-use-ultrasound-guidance-adult,
Post thoracentesis effusion (apologies for flipped image). Given uncomplicated procedure, routine CXR not performed based off the following guidlines: https://www.journalofhospitalmedicine.com/jhospmed/article/157109/hospital-medicine/recommendations-use-ultrasound-guidance-adult,
4/
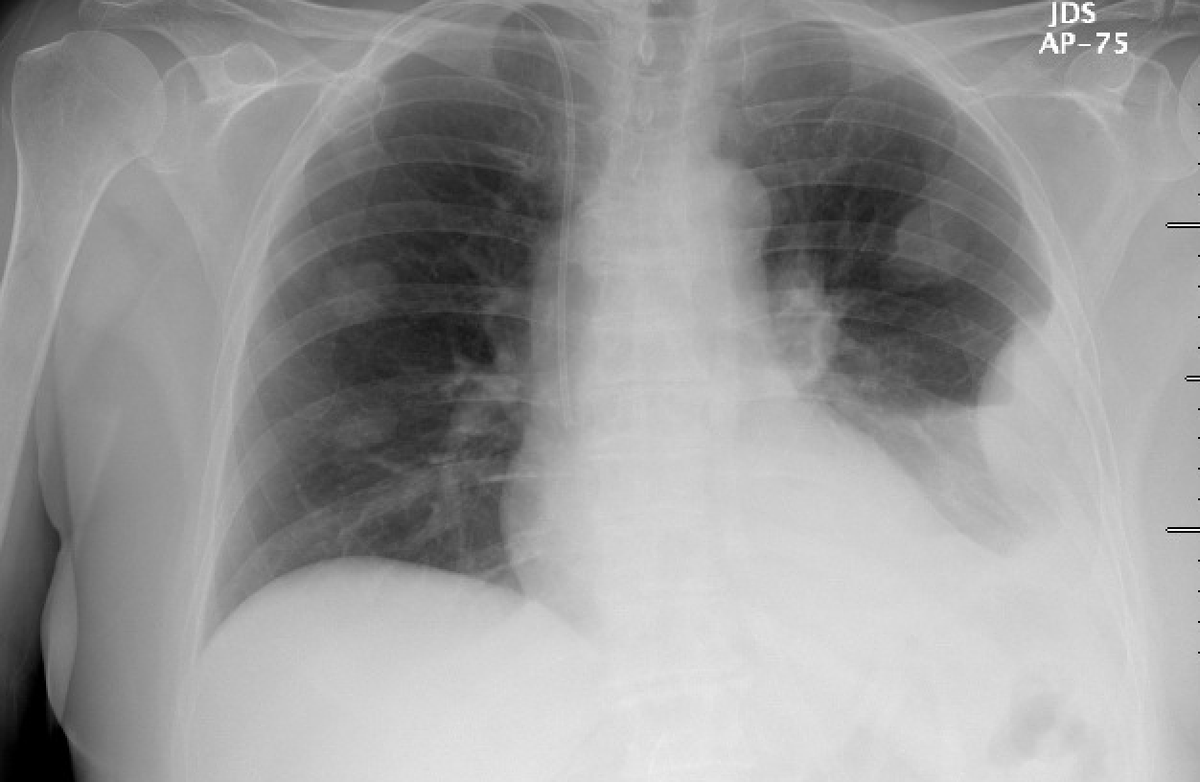
Called approximately 3 hours later to re-evaluate patient who was experiencing some left sided pleuritic CP. Vital signs stable, no new O2 requirement, breathing comfortably on RA. Physical exam unchanged.
Called approximately 3 hours later to re-evaluate patient who was experiencing some left sided pleuritic CP. Vital signs stable, no new O2 requirement, breathing comfortably on RA. Physical exam unchanged.
5/ While waiting for CXR, #POCUS was performed to assess for lung sliding.
Left posterior superior view:
Left posterior superior view:
8/
11/
POLL: How likely is it that this patient has a post-procedural PTX?
POLL: How likely is it that this patient has a post-procedural PTX?
12/
Upon viewing multiple other spots, unable to find an actual lung point but do confirm absence of lung sliding in the middle of the left lung.
Upon viewing multiple other spots, unable to find an actual lung point but do confirm absence of lung sliding in the middle of the left lung.
13/
While waiting impatiently for CXR, let's look back at a prior CT. Notice the large mass in the middle of the left lung.
While waiting impatiently for CXR, let's look back at a prior CT. Notice the large mass in the middle of the left lung.
15/
So why the absent lung sliding??
This is an excellent example of the limitations of lung sliding for evaluating for PTX. Absence lung sliding is sensitive but NOT specific - many things can cause absent lung sliding, including a large mass on the pleura, like in this case.
So why the absent lung sliding??
This is an excellent example of the limitations of lung sliding for evaluating for PTX. Absence lung sliding is sensitive but NOT specific - many things can cause absent lung sliding, including a large mass on the pleura, like in this case.
16/
Lung point, however, is far more specific for PTX but this was not found in this case. (thanks @pocus101)
Lung point, however, is far more specific for PTX but this was not found in this case. (thanks @pocus101)
17/
What would have decreased the panic level in this case is looking for lung sliding before AND after the procedure. Regardless, with his symptoms, would have likely gotten a post procedure cxr either way.
What would have decreased the panic level in this case is looking for lung sliding before AND after the procedure. Regardless, with his symptoms, would have likely gotten a post procedure cxr either way.
18/
Take home point: absence of lung sliding is non-specific. While this can be a good tool to assess for PTX, always know your pitfalls and always confirm with an additional study!
Take home point: absence of lung sliding is non-specific. While this can be a good tool to assess for PTX, always know your pitfalls and always confirm with an additional study!
19/
Plz forgive the mislabeling of the images as right, this was in fact the left lung...
Plz forgive the mislabeling of the images as right, this was in fact the left lung...
Read on Twitter