Kidney disease genetic risk variants alter lysosomal beta-mannosidase (MANBA) expression and disease severity https://stm.sciencemag.org/content/13/576/eaaz1458
The study is lead by @Xiangchen_Gu @XinSheng7 and Holly Yang. Kidney function GWAS identified hundreds of variants associated with kidney function, but causal genes, cell types and mechanisms encoded remains unknown
We took a closer look chr4. Coloc integration of the common GWAS variants and eQTL studies showed that MANBA (lysosomal beta mannosidase) is the likely causal gene. Furthermore kidney disease incidence was higher in subjects with rare loss of function coding variants
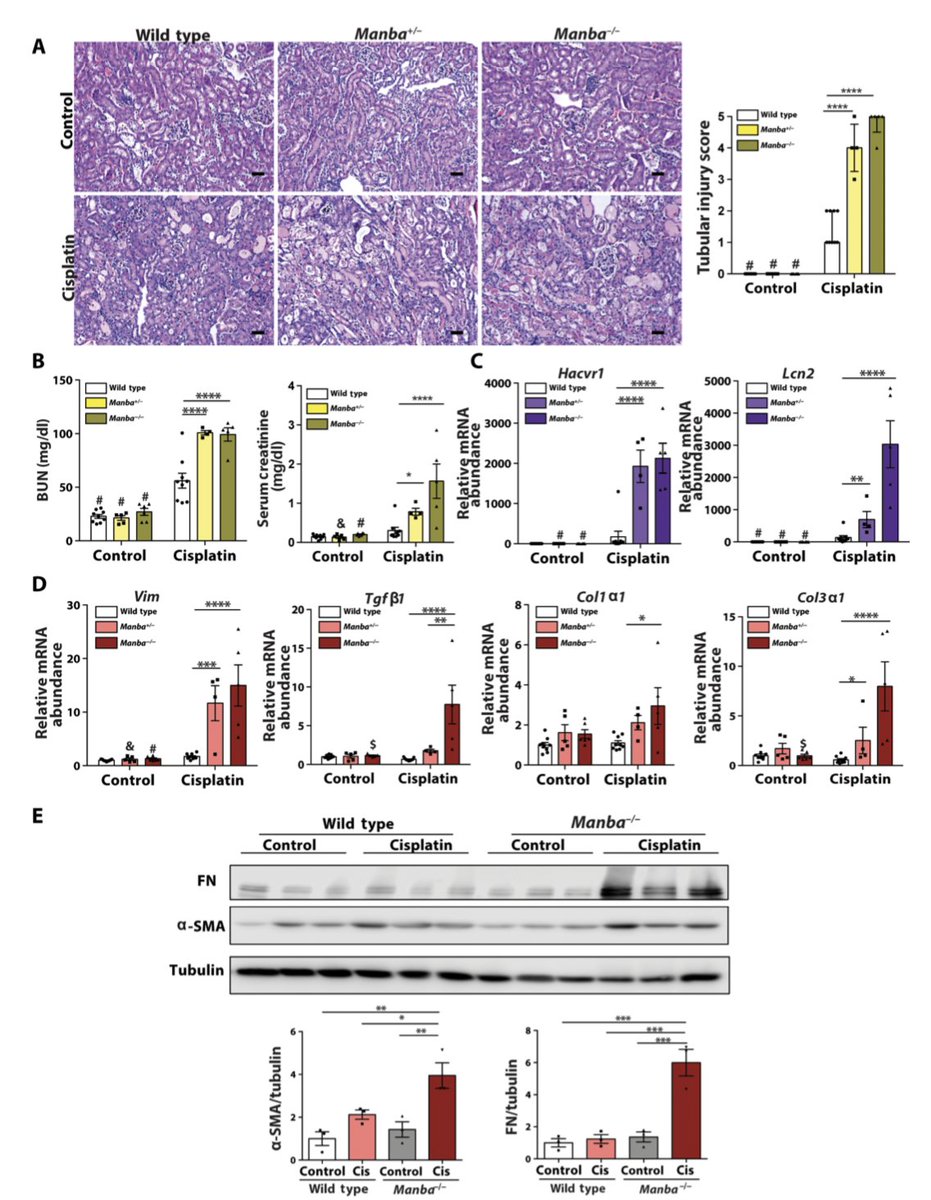
Manba knock-out mice had more severe fibrosis in a variety injury models (FA and cisplatin)
MANBA deficiency causes structural and functional lysosomal changes, a block in autophagy and endocytosis defect in kidney proximal tubules
Manba loss results in enhanced NLRP3 inflammasome signaling and increased tissue fibrosis
These results illustrate the convergence of common noncoding and rare coding variants in MANBA in kidney disease development and demonstrate the role of the endolysosomal system in kidney disease development.
You can follow @KSusztak.
Tip: mention @twtextapp on a Twitter thread with the keyword “unroll” to get a link to it.

Latest Threads Unrolled:

By continuing to use the site, you are consenting to the use of cookies as explained in our Cookie Policy to improve your experience.