I may be biased, but I think tractography is pretty cool. To find out how and why this technology is used, we surveyed British neurosurgeons across the country, in the first (to our knowledge) study of its kind (1/5)
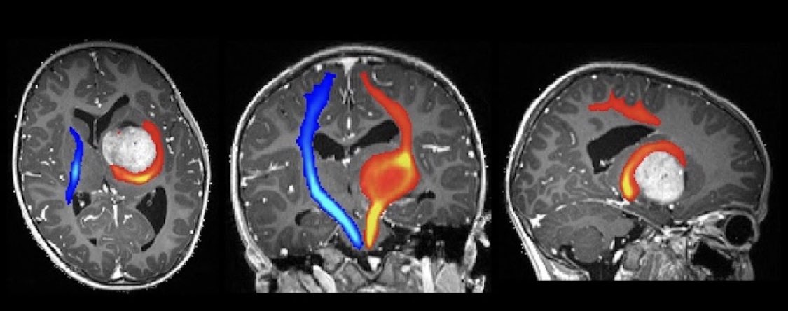
In keeping with the vast literature on this topic, most neurosurgeons used tractography as an adjunct for brain tumour resection, like in the case below (2/5)
Despite the development of plenty of other ways of doing tractography, most neurosurgeons stuck with the tried-and-tested diffusion tensor (DTI)... (3/5)
...and pointed out a number of clinically relevant drawbacks of the technique, such as perceived inaccuracy, brain shift and logistical difficulties (4/5)
What next for the field? Well tractography is certainly popular (90% of UK units use it regularly) - and hopefully studies like @FutureGB_Trial can show us how useful it can be in helping neurosurgical patients. Open access 
link to paper: https://www.tandfonline.com/doi/full/10.1080/02688697.2020.1849542 (5/5)

link to paper: https://www.tandfonline.com/doi/full/10.1080/02688697.2020.1849542 (5/5)
Read on Twitter