A short #GIpath #tweetorial
A concerning finding on a colon resection...
@ariella8 @nucleololailo @DrGeeONE @kis_lorand @MAHoureih @D4L14H @DraEosina @SingJamieD @Pathmath1 @ALBoothMD @jansen_marnix @steland011 @Mvgs1706 @RunjanChetty @drtimbracey @AllonKahn
A concerning finding on a colon resection...
@ariella8 @nucleololailo @DrGeeONE @kis_lorand @MAHoureih @D4L14H @DraEosina @SingJamieD @Pathmath1 @ALBoothMD @jansen_marnix @steland011 @Mvgs1706 @RunjanChetty @drtimbracey @AllonKahn
@jake_bledsoe @natzpat @Dr_Brian_Cox @TristanRutland7 @CArnold_GI @slusagar @RZitwer
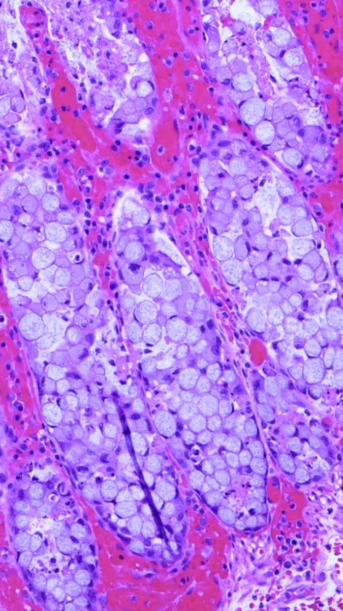
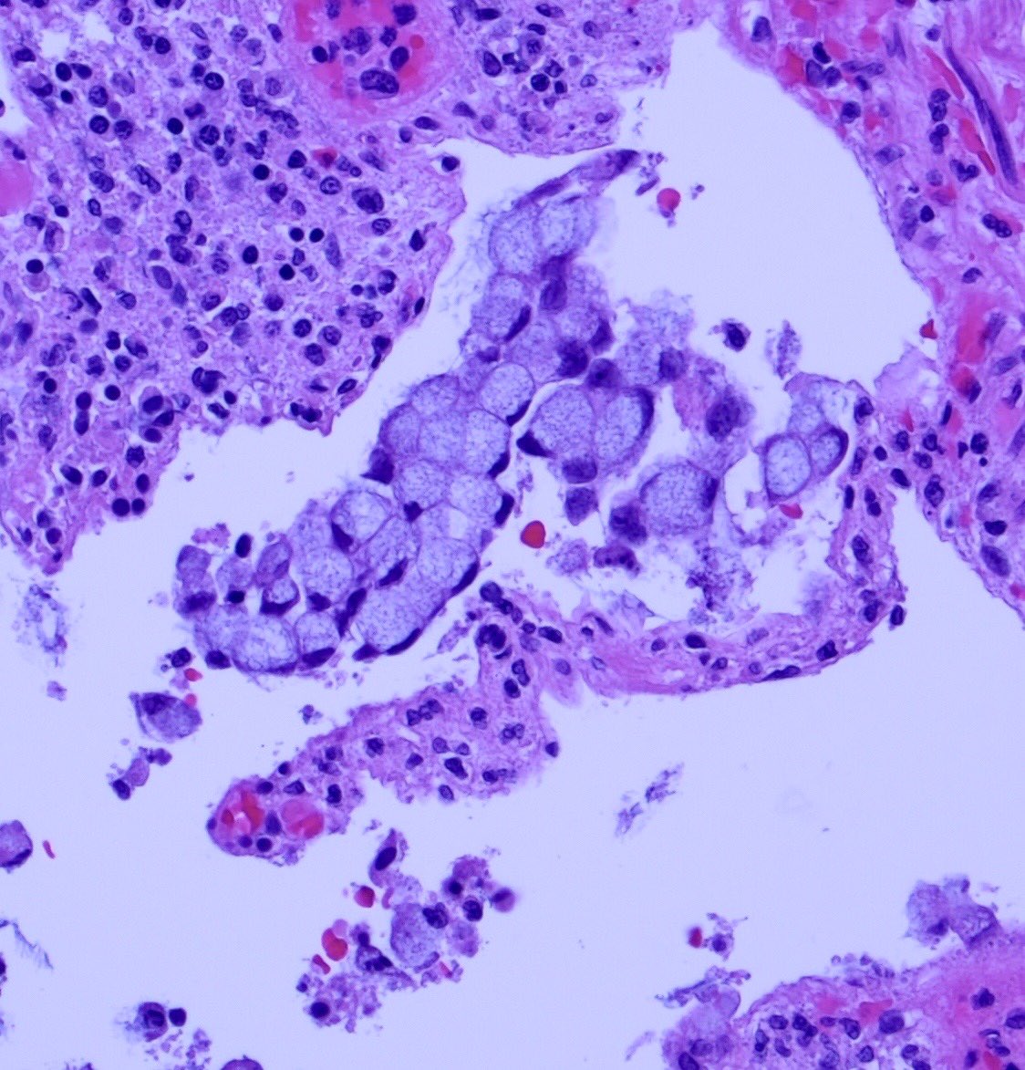
Some of these cells are showing classic ‘signet ring’ morphology:
Some of these cells are showing classic ‘signet ring’ morphology:
How do we differentiate benign signet ring cell change from signet ring adenocarcinoma?
Context is key: signet ring cell change may be seen in pseudomembranous colitis; also other ischemic and ulcerative conditions.
Context is key: signet ring cell change may be seen in pseudomembranous colitis; also other ischemic and ulcerative conditions.
The cause of signet ring cell change isn’t completely understood. Apparently, mucosal inflammation and ischemia cause epithelial cells to slough and ‘round up’, resulting in signet ring-like morphology.
For more detail see https://pubmed.ncbi.nlm.nih.gov/11257633/
For more detail see https://pubmed.ncbi.nlm.nih.gov/11257633/
A helpful table from Dhingra and Wang “Nonneoplastic signet-ring cell change in gastrointestinal and biliary tracts: a pitfall for overdiagnosis”.
https://pubmed.ncbi.nlm.nih.gov/22082777/
Thanks all!
https://pubmed.ncbi.nlm.nih.gov/22082777/
Thanks all!
Read on Twitter