1/ Liver Failure &
Damage: MRI Tips
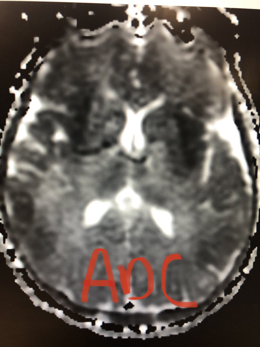
What does MRI show? Pt w/hepatic encephalopathy came in talking, then gets dense coma. No hypoxia & only minor shock. See T2 Flair, DWI & ADC imaging w diffuse Gray Matter Dz incl Thalamus
http://bit.ly/3lVfjI5
#medtwitter #meded
Damage: MRI TipsWhat does MRI show? Pt w/hepatic encephalopathy came in talking, then gets dense coma. No hypoxia & only minor shock. See T2 Flair, DWI & ADC imaging w diffuse Gray Matter Dz incl Thalamus
http://bit.ly/3lVfjI5
#medtwitter #meded
2/ Liver Failure & MRI...
Devastating & he died in 48 hrs. Abnormal T2 Flair = fluid/edema. DWI bright/abnormal + decreased/black ADC = Compatible w cytotoxic edema. If ADC is bright, it’s just “T2-shine through” from edema.. See Fig 1-3 below from ref.
Devastating & he died in 48 hrs. Abnormal T2 Flair = fluid/edema. DWI bright/abnormal + decreased/black ADC = Compatible w cytotoxic edema. If ADC is bright, it’s just “T2-shine through” from edema.. See Fig 1-3 below from ref.
3/fin. He has Symmetric Dz. Is Ammonia (only ~100) the culprit?
metabolic. Ammonia can cause Neuronal Necrosis, messes w GABA, NMDA, causes edema, high ICPs. Toxicity = Edema = Crowding of Blood Flow = Ischemia. Send teaching points, please!
#pulmcc #criticalcare
metabolic. Ammonia can cause Neuronal Necrosis, messes w GABA, NMDA, causes edema, high ICPs. Toxicity = Edema = Crowding of Blood Flow = Ischemia. Send teaching points, please!#pulmcc #criticalcare
Read on Twitter