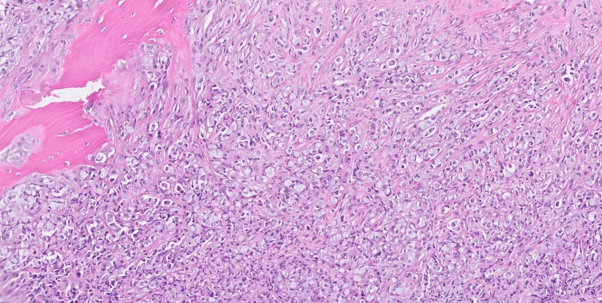
1/ #PathTwitter what is your understating on this skeletal metastasis in an elderly female? 
#pathology
@smlungpathguy @natasharekhtman

#pathology
@smlungpathguy @natasharekhtman
2/ #CUP
3/ #IHCpath
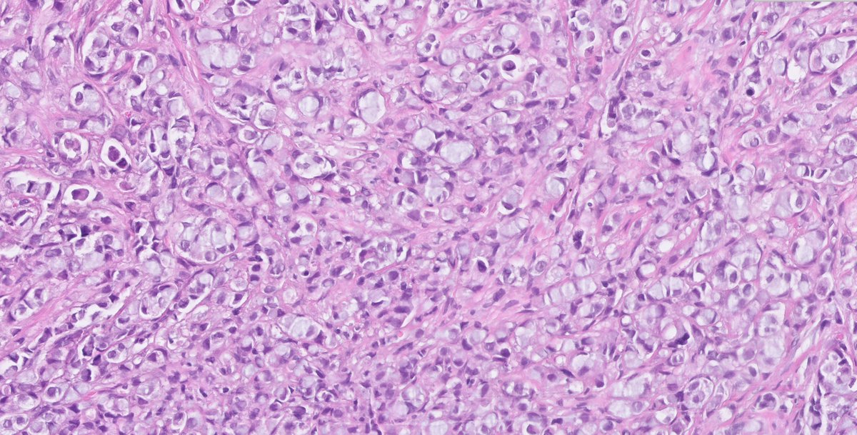
7/ So indeed this was a metastatic breast carcinoma and the answer and the problem lies in the non-specificity of the SP24 antibody as highlighted buy several of you 
more specifically metastatic lobular carcinoma

more specifically metastatic lobular carcinoma
8/ Fun fact
Did you know that the well-known prostate-specific IHC marker NKX3.1 is positive in 25-28% av lobular breast carcinomas also? Say what
Did you know that the well-known prostate-specific IHC marker NKX3.1 is positive in 25-28% av lobular breast carcinomas also? Say what
9/ What other tumors, except for prostate adenocarcinoma and lobular breast carcinoma, do you know to be positive for NKX3.1 IHC?
#IHCpath #breastpath
#IHCpath #breastpath
Read on Twitter
