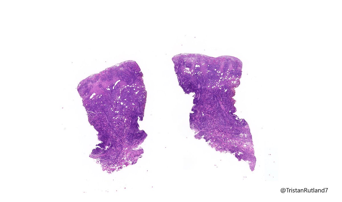
Female, adult, leg.
@ZHOUSEH @MattieFarzin @rennmont @DrJPLow @JMGardnerMD @DrGeeONE @Kashifhazim @Divya_Madhala @Meghna0630 @ariella8 @pembeoltulu @MAHoureih @ChristineJKoMD @rdpatho
#dermpath #pathtwitter #pathology
@ZHOUSEH @MattieFarzin @rennmont @DrJPLow @JMGardnerMD @DrGeeONE @Kashifhazim @Divya_Madhala @Meghna0630 @ariella8 @pembeoltulu @MAHoureih @ChristineJKoMD @rdpatho
#dermpath #pathtwitter #pathology
Diagnosis:
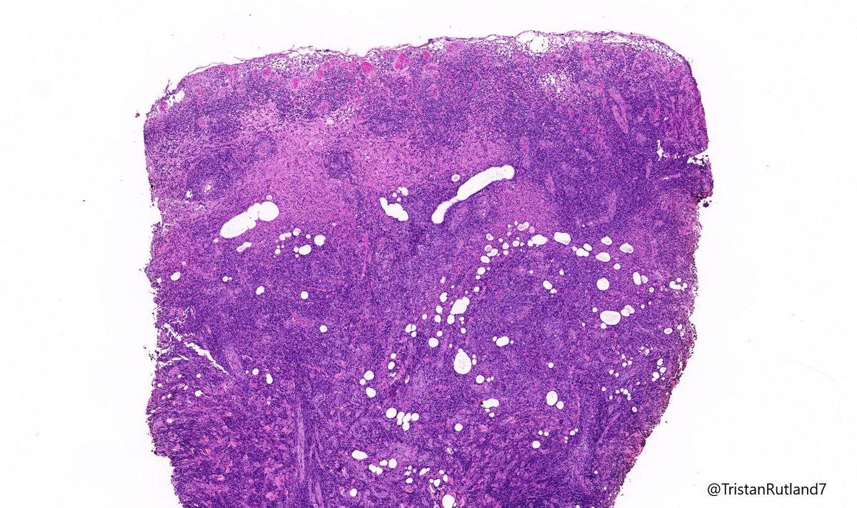
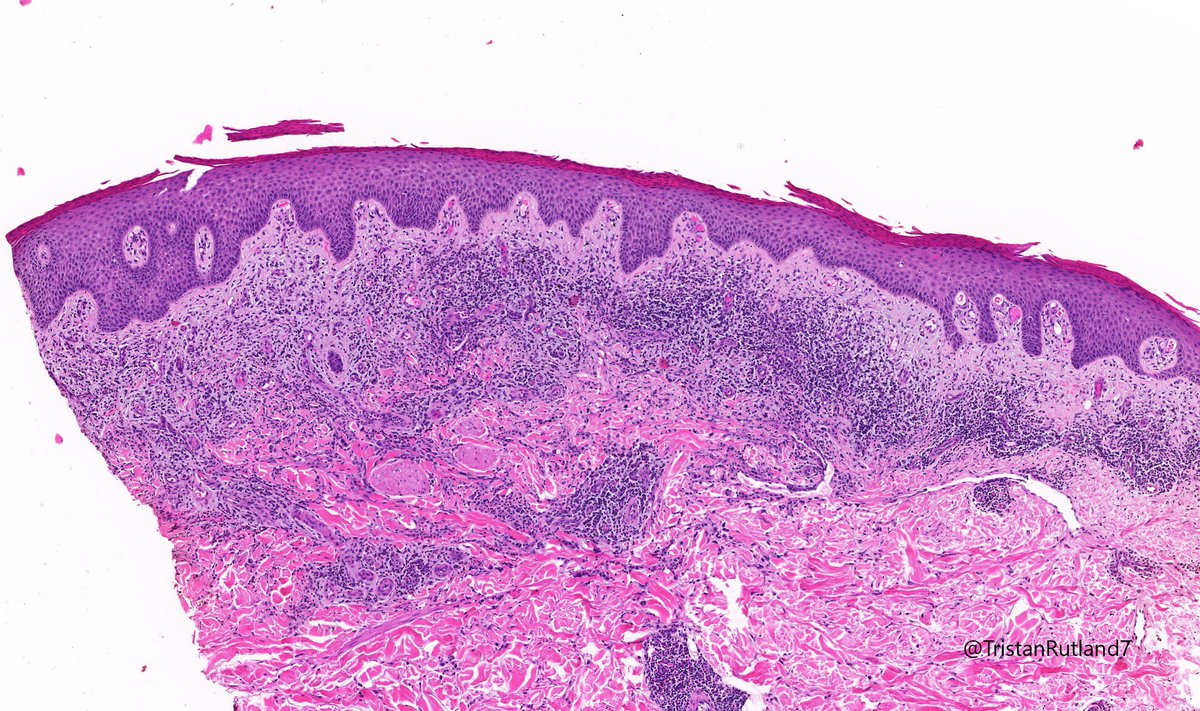
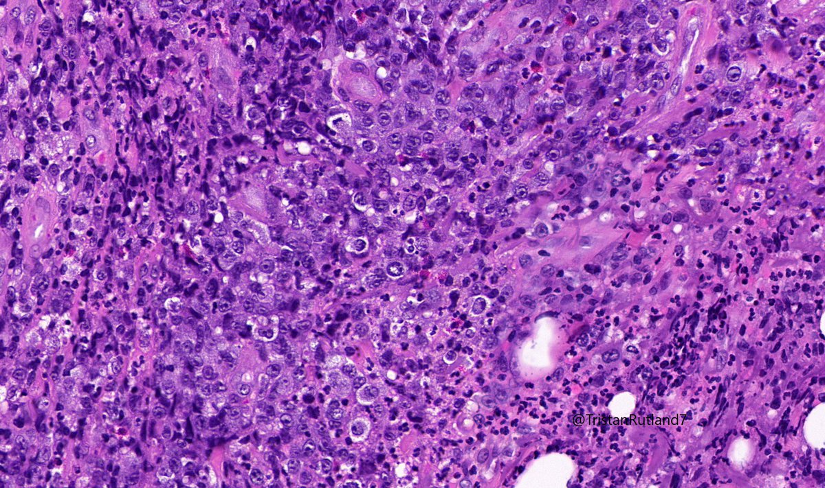
Large cell transformation of mycosis fungoides (MF).
#Hemepath
This was a colleague’s case.
Large cell transformation of mycosis fungoides (MF).
#Hemepath
This was a colleague’s case.
1/ Mycosis fungoides (MF) is a cutaneous T-cell lymphoma and has a range of stages:
Patch & plaque stage
indolent
Tumour stage
worse prognosis
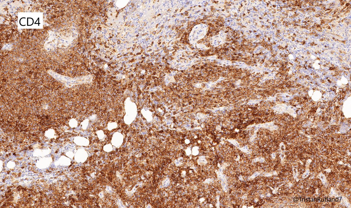
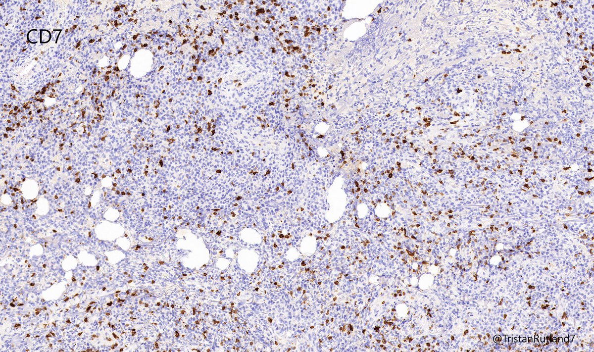
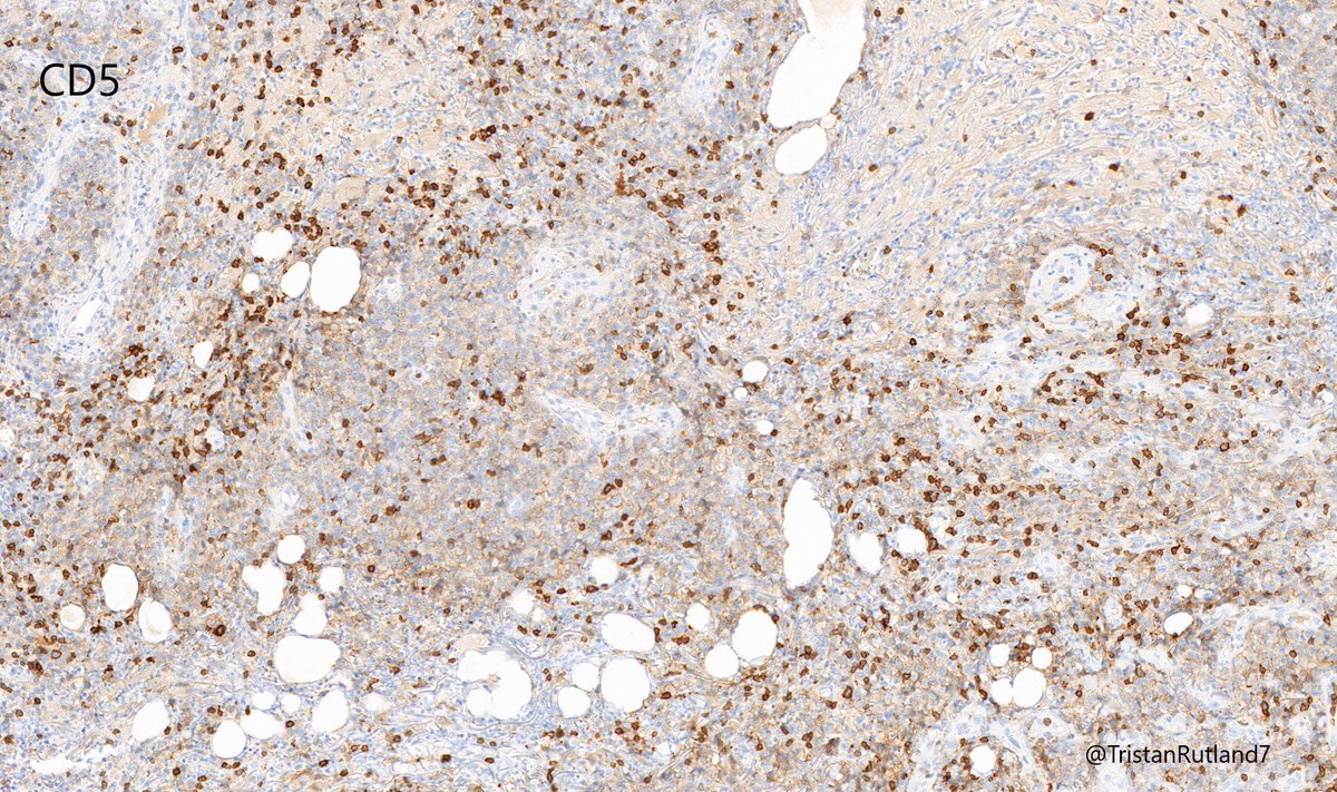
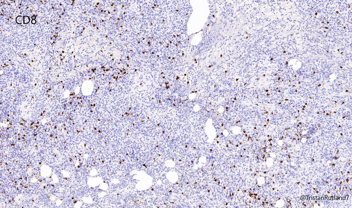
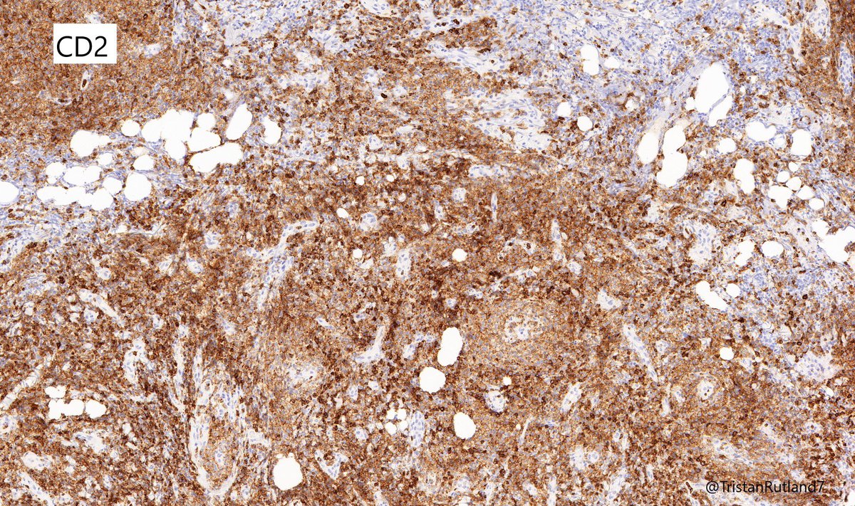
2/ It usually expresses mature T cell phenotype CD4 (but v rare CD8 cases can occur).
https://pubmed.ncbi.nlm.nih.gov/10071312
Patch & plaque stage
indolentTumour stage
worse prognosis2/ It usually expresses mature T cell phenotype CD4 (but v rare CD8 cases can occur).
https://pubmed.ncbi.nlm.nih.gov/10071312
2b/ In regards to staging, I have attached an excellent article below.
https://ashpublications.org/blood/article/110/6/1713/24087/Revisions-to-the-staging-and-classification-of
https://ashpublications.org/blood/article/110/6/1713/24087/Revisions-to-the-staging-and-classification-of
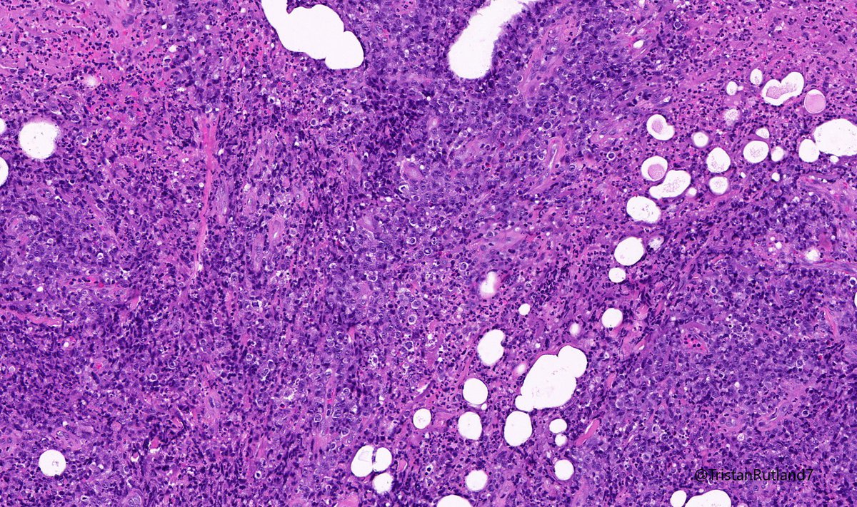
3/ Large cell transformation is defined by greater than 25% large cells (4X size normal lymphocytes) or nodular aggregates in dermis.
4/ It usually arises from tumour stage (rare cases arising from patch stage have occurred).
https://pubmed.ncbi.nlm.nih.gov/10733487/
4/ It usually arises from tumour stage (rare cases arising from patch stage have occurred).
https://pubmed.ncbi.nlm.nih.gov/10733487/
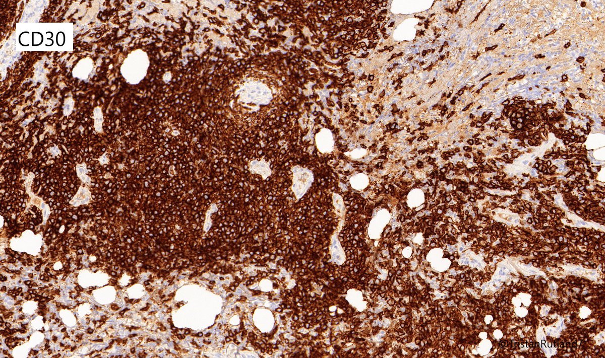
5/ CD30 is NOT a marker for transformation (can be found in patch stage), but might provide a target from treatment.
https://pubmed.ncbi.nlm.nih.gov/21047225/
https://pubmed.ncbi.nlm.nih.gov/21047225/
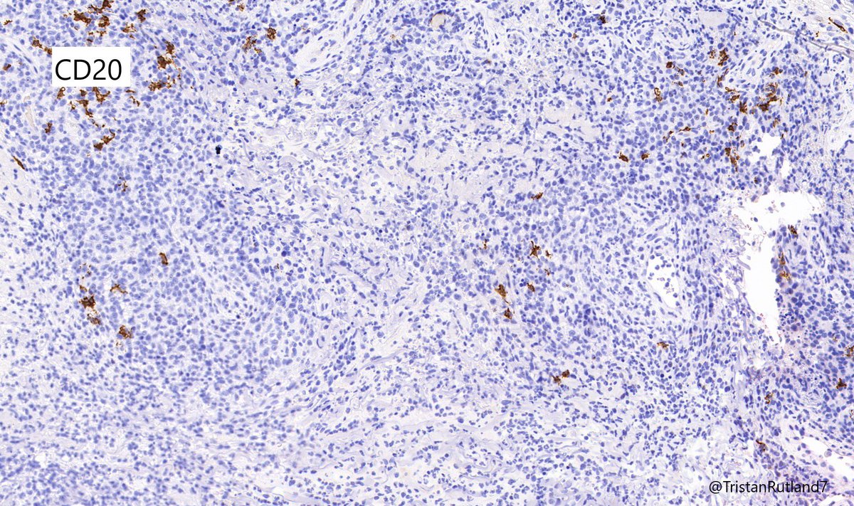
6/ Differential diagnosis that need to be considered:
Primary cutaneous anaplastic large cell lymphoma (PCALCL)
Lymphomatoid papulosis (LyP)
Hx is absolutely essential in these situations (ie previous MF).
(?GATA3 may be helpful sometimes?).
https://pubmed.ncbi.nlm.nih.gov/25440432/
Primary cutaneous anaplastic large cell lymphoma (PCALCL)
Lymphomatoid papulosis (LyP)Hx is absolutely essential in these situations (ie previous MF).
(?GATA3 may be helpful sometimes?).
https://pubmed.ncbi.nlm.nih.gov/25440432/
7/ Lastly, 25% of MF can be associated LyP….
https://pubmed.ncbi.nlm.nih.gov/14512906/
https://pubmed.ncbi.nlm.nih.gov/14512906/
Read on Twitter