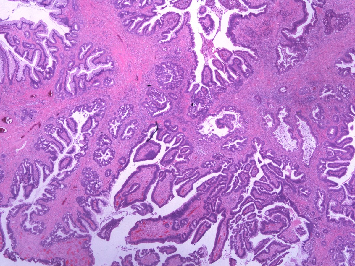
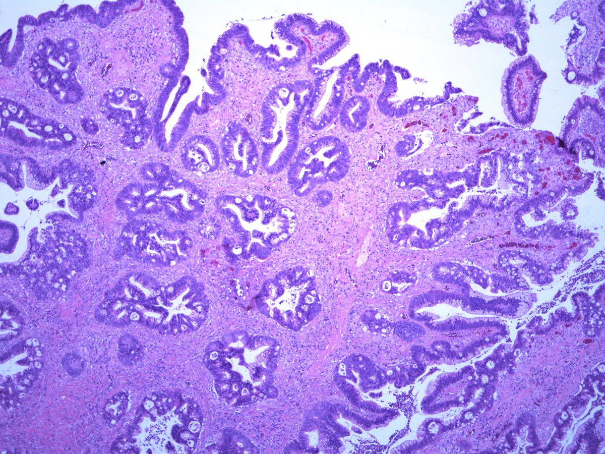
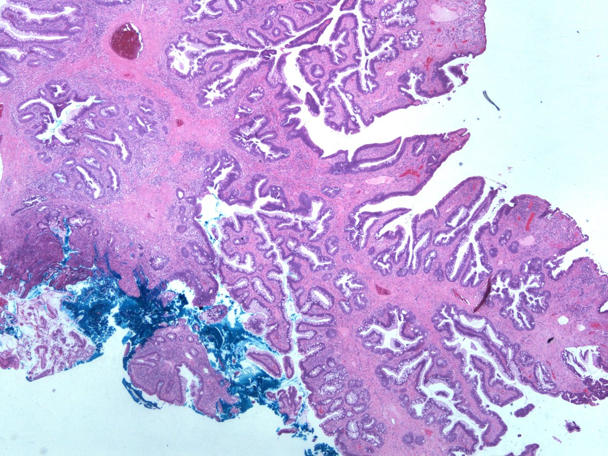
Dear Tweeples, help please. 20mm polyp in sigmoid colon in a background of longstanding mildly active IBD . Is it DALM? Is it Sporadic adenoma? How would you grade it? Any ancillary tests that may add value ? #GIpath #pathologyresidents .more images. @RunjanChetty @MAHoureih
You can follow @Pathmath1.
Tip: mention @twtextapp on a Twitter thread with the keyword “unroll” to get a link to it.

Latest Threads Unrolled:

By continuing to use the site, you are consenting to the use of cookies as explained in our Cookie Policy to improve your experience.