the beauty of such kind of interaction is that we quickly gather a nice list of ddx
Would the p53 IHC be of any help?
Would the p53 IHC be of any help?
just a side comment: if I read "serous carcinoma" then I don't know if you mean uterine serous carcinoma or HGSC-high-grade serous carcinoma, the extrauterine type...just saying
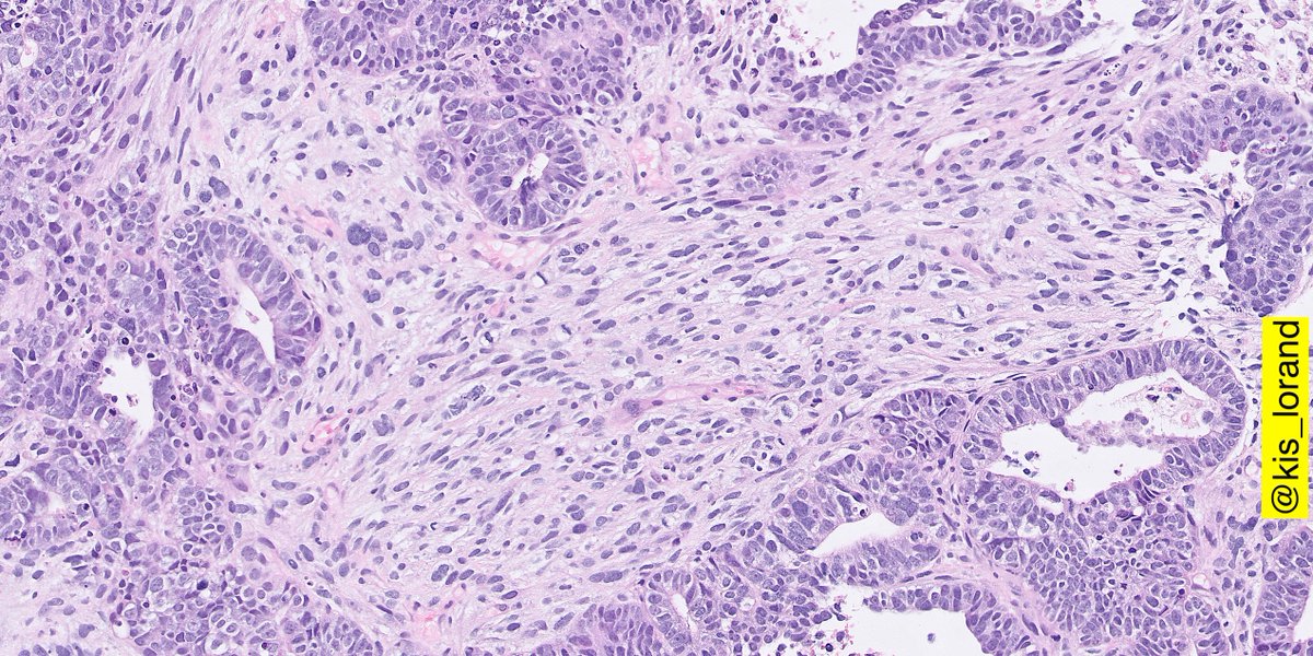
last piece of the puzzle... looking further around on the slide one finds such areas
now you know it
now you know it
Thanks everyone for your opinion and participation!! 
No tricks here, bread and butter case of "carcinosarcoma"...MMMT or 3MT...fancy name for a high-grade carcinoma with sarcomatoid dedifferentiation ... note how the sarcomatoid component lights up in the p53 IHC

No tricks here, bread and butter case of "carcinosarcoma"...MMMT or 3MT...fancy name for a high-grade carcinoma with sarcomatoid dedifferentiation ... note how the sarcomatoid component lights up in the p53 IHC
yesterday about the same time @DrGeeONE also shared a case of carcinosarcoma 

https://twitter.com/DrGeeONE/status/1304178437817610242


https://twitter.com/DrGeeONE/status/1304178437817610242
some learning points:
- p16 can be positive in multiple high-grade tumors and it is not a sign of high-risk HPV infection... if in doubt HPV testing is the answer
this was a case of p16-positive clear cell carcinoma of the uterus https://twitter.com/kis_lorand/status/1085648882170621952
- p16 can be positive in multiple high-grade tumors and it is not a sign of high-risk HPV infection... if in doubt HPV testing is the answer
this was a case of p16-positive clear cell carcinoma of the uterus https://twitter.com/kis_lorand/status/1085648882170621952
this case showed homogeneous p16 positivity in tubal metaplasia
PITFALL ALERT!!! https://twitter.com/kis_lorand/status/1173291281663107073
And finally in the thread below
you can find additional cases of carcinosarcomas! https://twitter.com/kis_lorand/status/1146137208841277442
you can find additional cases of carcinosarcomas! https://twitter.com/kis_lorand/status/1146137208841277442
Read on Twitter