Von Miller Injury Thread
What is it?
Peroneal tendon dislocation with ankle dislocation/subluxation. Could also be a torn peroneal tendon as this is commonly associated with a dislocation.
Healthy Anatomy
Peroneal tendon dislocation with ankle dislocation/subluxation. Could also be a torn peroneal tendon as this is commonly associated with a dislocation.
Healthy Anatomy
Okay but seriously what is it?
The peroneal muscles actively pull your foot outwards. When the foot sharply turns in combined with dorsiflexion the tendon sheath (retinaculum) can rupture and the tendon will dislocate, tear and move forward.
Dislocation anatomy:
The peroneal muscles actively pull your foot outwards. When the foot sharply turns in combined with dorsiflexion the tendon sheath (retinaculum) can rupture and the tendon will dislocate, tear and move forward.
Dislocation anatomy:
What about his ankle?
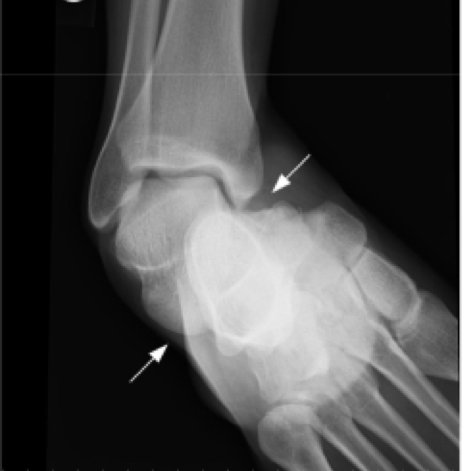
It's not uncommon for a peroneal tendon dislocation to be associated with an ankle dislocation, where essentially the tibia slips off the talus. This puts significant pressure on the lateral ankle where the peroneal tendons sit.
Xray of dislocation:
It's not uncommon for a peroneal tendon dislocation to be associated with an ankle dislocation, where essentially the tibia slips off the talus. This puts significant pressure on the lateral ankle where the peroneal tendons sit.
Xray of dislocation:
What happens next?
Surgery technique will really depend on the extent of the damage to both the tendons and surrounding structures. As I won't speculate on the exact surgery he will need, but typically the tendons will be relocated and the ankle may need to be stabilized.
Surgery technique will really depend on the extent of the damage to both the tendons and surrounding structures. As I won't speculate on the exact surgery he will need, but typically the tendons will be relocated and the ankle may need to be stabilized.
When will he be back?
This is a tricky question to answer with impartial knowledge on the extent of the damage.
Best case recovery is 3 months as noted by @ProFootballDoc here: https://www.outkick.com/david-chao-md-von-miller-injury-is-bad-but-he-still-could-play-this-season/
Reports indicating 6 months seem to suggest Miller won't return this year.
This is a tricky question to answer with impartial knowledge on the extent of the damage.
Best case recovery is 3 months as noted by @ProFootballDoc here: https://www.outkick.com/david-chao-md-von-miller-injury-is-bad-but-he-still-could-play-this-season/
Reports indicating 6 months seem to suggest Miller won't return this year.
What to do with Miller in IDP?
This looks like a lost season, but there is hope he can return next year. Research shows a high success rate with surgery in non-NFL athletes.
Production data is limited, but as Dr. Chao notes in his article return to a high level is possible.
This looks like a lost season, but there is hope he can return next year. Research shows a high success rate with surgery in non-NFL athletes.
Production data is limited, but as Dr. Chao notes in his article return to a high level is possible.
Read on Twitter