Isolated injury in a 38yo male driver after an automobile crash - can you identify the radiographic lines and fracture pattern?
The surface rendered CT helps “to see” the AP plain film better
The iliac oblique SR image helps too
And the “spur” is identified when viewing it from this angle
The axial dome image
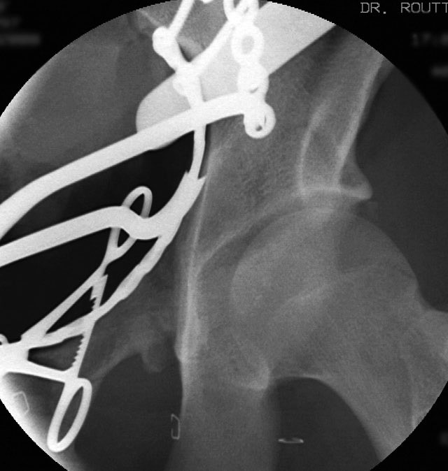
We used a regular table and an Ilioinguinal exposure to first reduce and stabilize the PC fragment to the intact ilium
Then reduced and clamped and stabilized the dome AC fragment
Then finished up the rest
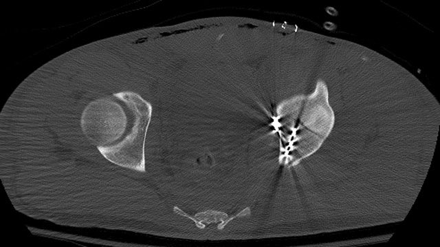
The postop CT helps us assess and understand the articular reduction and implant applications best
You can follow @ChipRoutt.
Tip: mention @twtextapp on a Twitter thread with the keyword “unroll” to get a link to it.

Latest Threads Unrolled:

By continuing to use the site, you are consenting to the use of cookies as explained in our Cookie Policy to improve your experience.