Name the following tumor of neural crest origin:
Is this a:
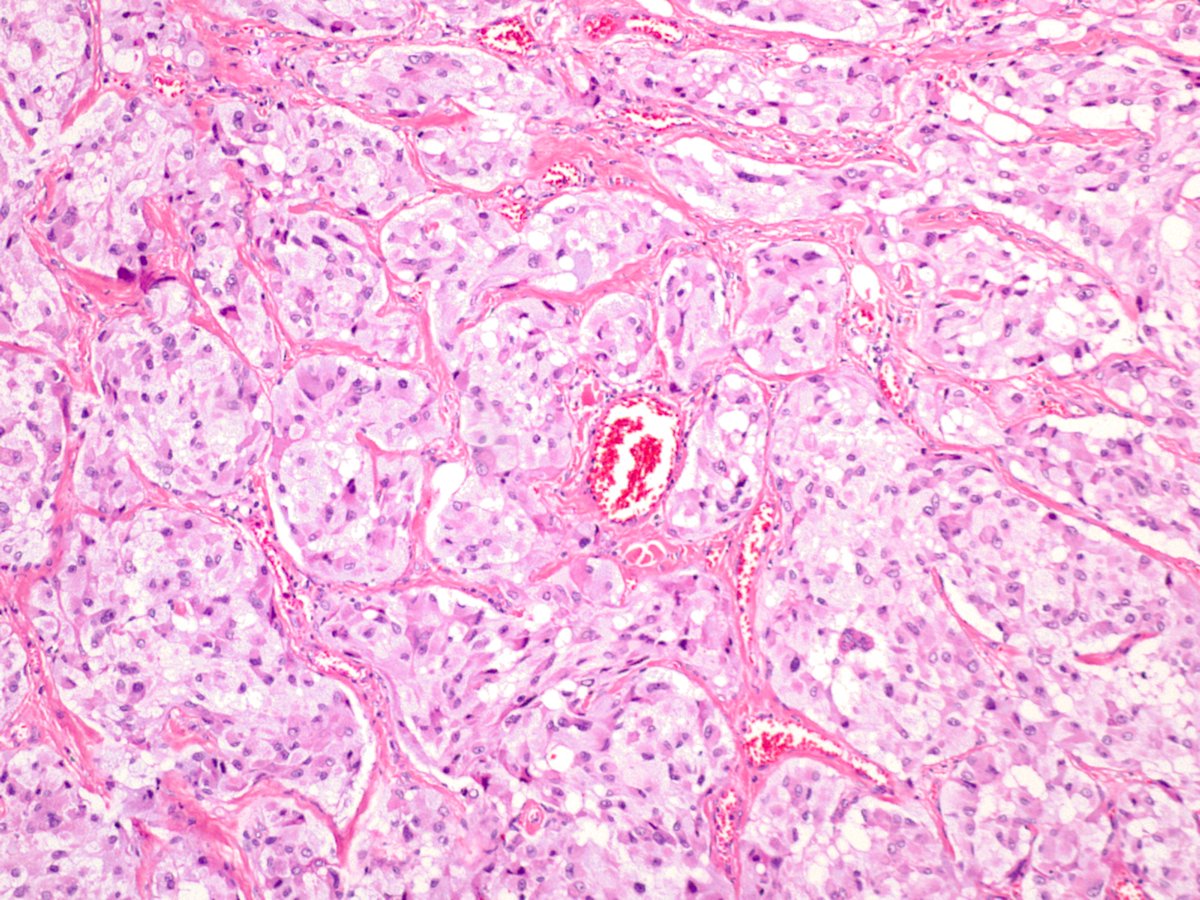
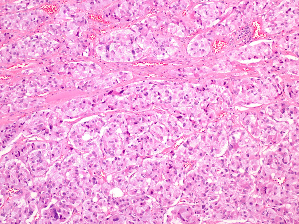
Paraganglioma...showing the nested "zellballen" growth pattern with vascularized fibrous stroma. We use synapto/chromo/CD56 to highlight tumor cells. Sustentacular cells are often present but are unfortunately not seen in this example. What do sustentacular cells stain with?
S-100. There's one other stain you should perform to rule out a particular syndrome, but first...please name another neural crest tumor from the adrenal gland.
If neuroendocrine markers are positive, what could this be?
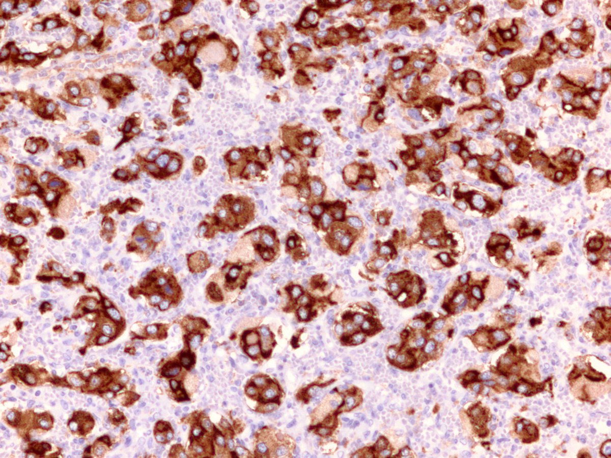
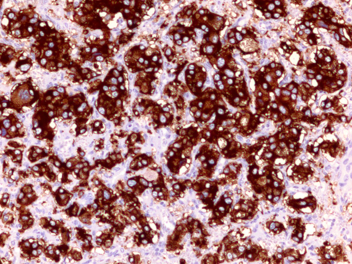
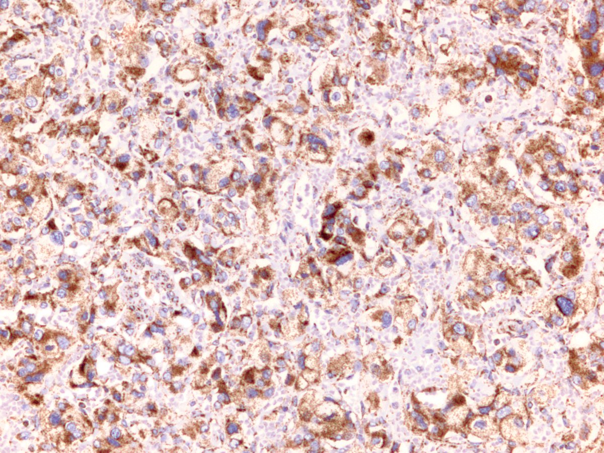
Pheochromocytoma. Below are the chromo and synapto stains for your viewing pleasure.
Patients with hereditary paraganglioma-pheochromocytoma syndrome have a mutation in which gene?
Succinate dehydrogenase (SDH): a mitochondrial enzyme that converts succinate to fumarate -- Krebs cycle PTSD, anyone? Note that PGL/Pheo syndrome can also arise in the setting of VHL, MEN2, NF1 mutations. Below is our SDH stain, which should be lost in syndromic patients.
However, SDH-deficiency isn't limited to neuroendocrine tumors. Which of the following also have an SDH-deficient subtype?
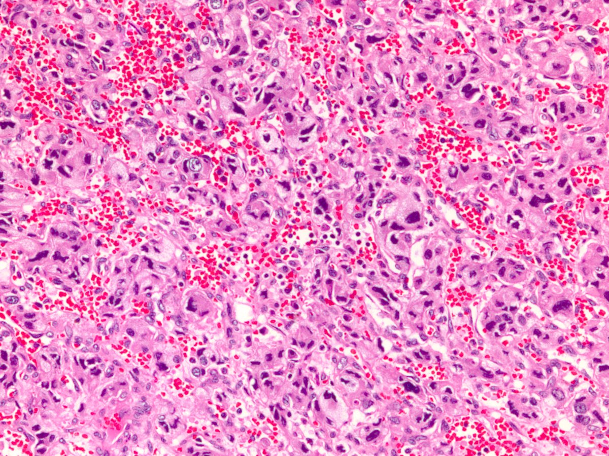
RCC and GIST! I don't have an SDH-def GIST, but below is an SDH-deficient RCC. These have variable growth patterns, but the intracytoplasmic vacuoles or flocculent inclusions make this tumor look a little bubbly.
You can follow @Dr_Brian_Cox.
Tip: mention @twtextapp on a Twitter thread with the keyword “unroll” to get a link to it.

Latest Threads Unrolled:

By continuing to use the site, you are consenting to the use of cookies as explained in our Cookie Policy to improve your experience.