It’s #fracturefriday! Bet you were hoping for firework injuries after July 4th
NOPE! Just a nuanced distal radius fracture to make ya think
@megancontimica @Congenitalhand @NuelleHandMD @AndrewSobelMD @robgraymd @DrMoghtaderi @RayRavenMD @SandyGebhartMD @NinaSuh9 @JRHandSurg
NOPE! Just a nuanced distal radius fracture to make ya think
@megancontimica @Congenitalhand @NuelleHandMD @AndrewSobelMD @robgraymd @DrMoghtaderi @RayRavenMD @SandyGebhartMD @NinaSuh9 @JRHandSurg
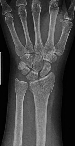
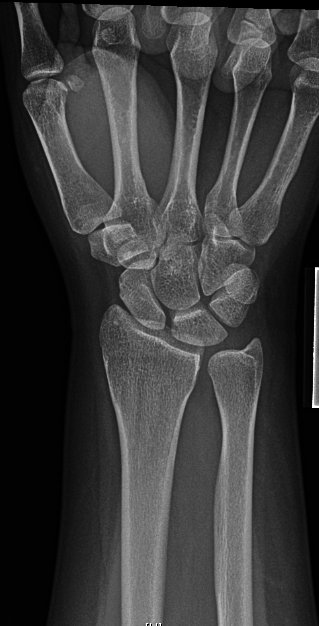
24y/o healthy RHD F who works in an office job fell roller skating.
Nothing surprising on exam
@DKennedyHands @DrewAlbertMD @handz98 @maximhorwitz @hunter_alistair @TJQPNI @HolliePowerMD @Orthofacts @JuncturaTheorum @CY_Hand @hand_specialist @elveymichael @m_lane19 @ChrisDyMD
Nothing surprising on exam
@DKennedyHands @DrewAlbertMD @handz98 @maximhorwitz @hunter_alistair @TJQPNI @HolliePowerMD @Orthofacts @JuncturaTheorum @CY_Hand @hand_specialist @elveymichael @m_lane19 @ChrisDyMD
Given frx pattern and risk for concomitant SL injury (and ?SL widening), started scratching the ole’ noggin.
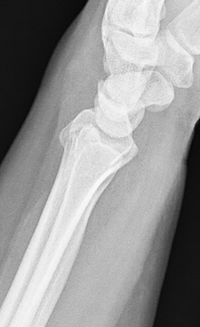
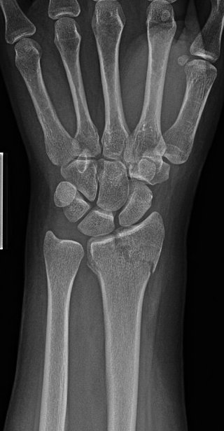
Couldn’t do dynamic (grip) view for injured side so we went for a contralateral comparison. Subtle differences if any…
Now what? Some voting for CT or MRI...
Couldn’t do dynamic (grip) view for injured side so we went for a contralateral comparison. Subtle differences if any…
Now what? Some voting for CT or MRI...
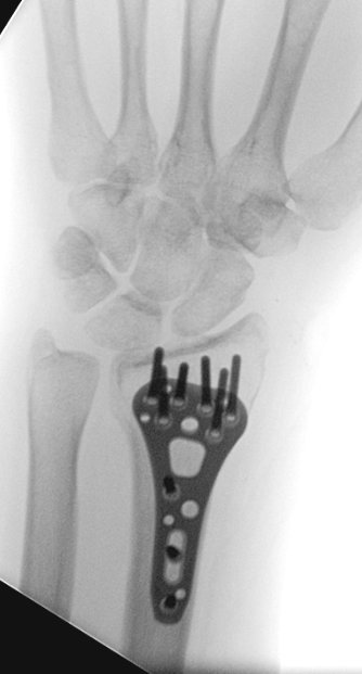
Given the dominant-sided injury, radial and intemediate column injury, joint diastasis, possible SL injury, patient's age, we discussed surgery.
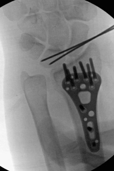
We decided that there was no better way to identify the SL injury other than with our eyeballs. So, scope/fix bone/address ligament.
We decided that there was no better way to identify the SL injury other than with our eyeballs. So, scope/fix bone/address ligament.
Of course, the scope tower saved whichever images it felt like. Membranous SL tear, no drive through, no shuck.
Scope assisted reduction of the articular surface was pretty cool, but radiographs honestly showed the same story
Ordinarily, I’d change that long/distal screw out, but since I was scoping the joint and didn’t see penetration, I felt ok leaving it
Debrided and pinned the SL
Ordinarily, I’d change that long/distal screw out, but since I was scoping the joint and didn’t see penetration, I felt ok leaving it
Debrided and pinned the SL
Read on Twitter