Is there such a thing as PRIMARY PULMONARY MELANOMA?? What if melanoma presents exclusively in the lung? No evidence of skin, mucosal or ocular primary? Not even after exhaustive evaluation? AND lung melanoma is a solitary 10 cm mass? Did I pique your interest? See
1/
1/
Delighted to share latest study from our group that sorts out what these puzzling tumors represent. Using NGS, we found that despite no evidence of primary, lung-only melanomas consistently show a UV signature. @ModernPathology https://rdcu.be/b49nB
https://www.nature.com/articles/s41379-020-0594-0 2/
https://www.nature.com/articles/s41379-020-0594-0 2/
This is direct evidence that lung-only melanomas are metastases from occult (likely regressed) cutaneous melanomas... as lung is, of course, one of the places âwhere the sun donât shineâ. 3/
The concept of primary pulmonary melanoma has been in the literature (and WHO) for years but has remained controversial because 1) no native melanocytes in the lung, 2) skin melanomas known to regress, 3) mets to lung extremely common & can be solitary. 4/
So always really neat so be able to use new technology to clarity some age-old dilemmas and âentitiesâ. 5/
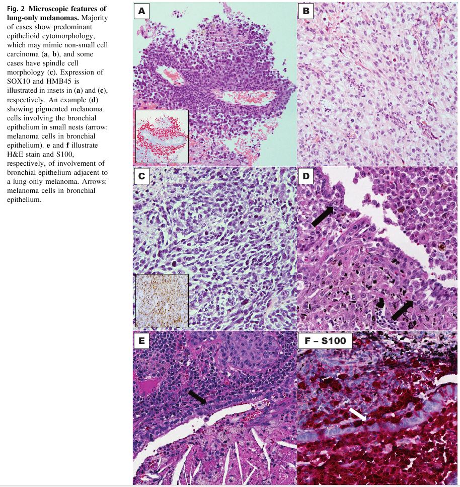
Super-important message for pathologists: solitary (even if very large) masses in the lung with no known primary â lung carcinoma. Among other possibilities, DDx includes metastatic melanoma. These can be VERY epithelioid & can even stain for keratins
. So watch out! 6/
. So watch out! 6/
Was a great pleasure to work on this with our incredibly talented fellow Chen Yang. Great job @ycharzy! And thanks to all collaborators â was great to branch out to work w/ our phenomenal melanoma team @alexshoushtari @fsanchezvega Klaus Busam. Thanks for great collaboration! 7/
And thanks @MLadanyi and our entire molecular team @MSKPathology for the incredible resource that our NGS platform represents for patient care and research. The end 8/
Please also see this post by @ycharzy with a case example and more on this study https://twitter.com/ycharzy/status/1275976807741820928?s=20
Read on Twitter