8 #NeurologyMorningReport Case 52 #MedTwitter Updates & Answers posted later today. Asking your help #MedEd #neurology #neurologyresident #neurologist #medstudent #NeurologyProud #IamaNeurologist #NeurologyNN Join me in educating. Share your questions and knowledge.

1/
50 yo man w/epilepsy since age 2. Seizures consist of feeling of confusion lasting 2-3 minutes followed by a headache. The seizures are sometimes triggered by stress or excitement & occur monthly. Now with different seizures with sudden collapse and shaking x 2m.

2/
PMH: HTN and epilepsy. SH: No T/E/D. FH: no epilepsy. Meds: lisinopril, topiramate 75 mg, carbamazepine 1200 mg, zonisamide 400 mg, phenytoin 300 mg. No prior records or test results are available.

Examination normal. 30 minute EEG awake and drowsy is normal

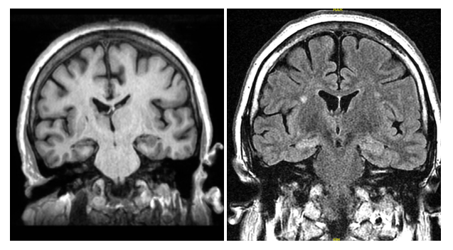
MRI brain shown
3/
Which of the following would you do next?

4/
He was admitted to EMU. Phenytoin tapered off. EEG showed interictal R temporal spike-wave. EEG of seizure shown in video. Anyone working in EMU now or in the future - watch the entire clip and think about what you would do (especially at 1:40).

5/
You can follow @Tracey1milligan.
Tip: mention @twtextapp on a Twitter thread with the keyword “unroll” to get a link to it.

Latest Threads Unrolled:

By continuing to use the site, you are consenting to the use of cookies as explained in our Cookie Policy to improve your experience.