1/2
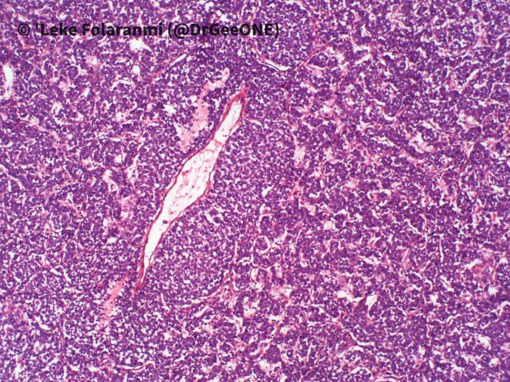
A male in his 20s with huge intrathoracic mass.
Duration: 2 years
#BSTpath
Kindly share your thoughts
❗️No IHC done
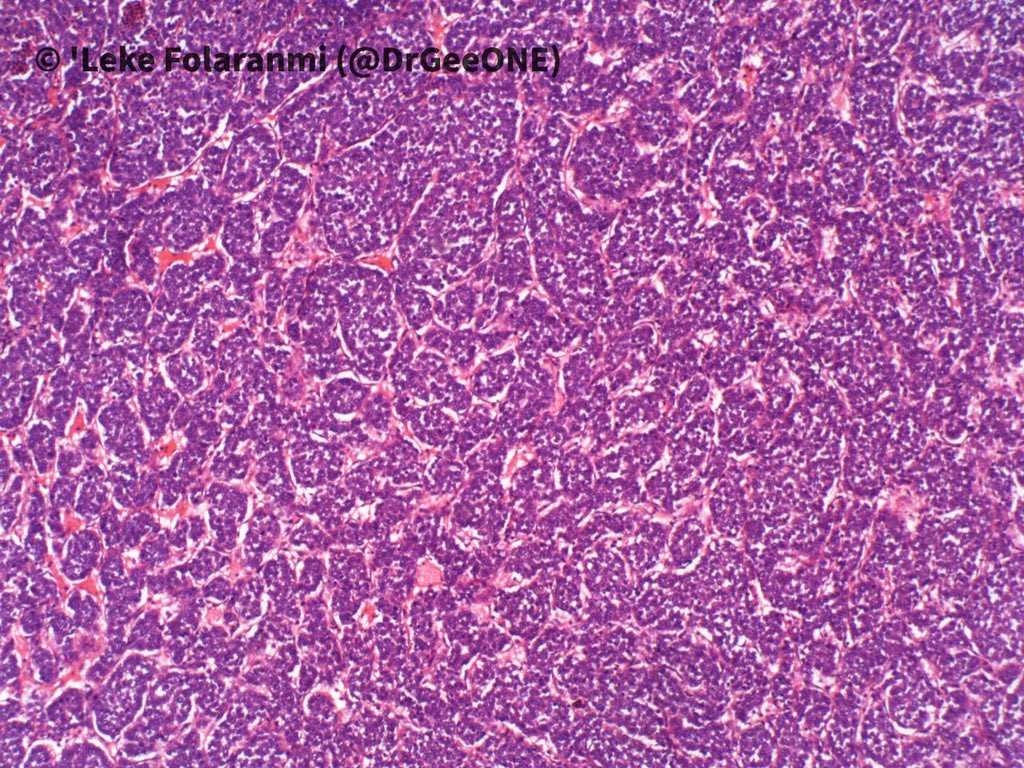
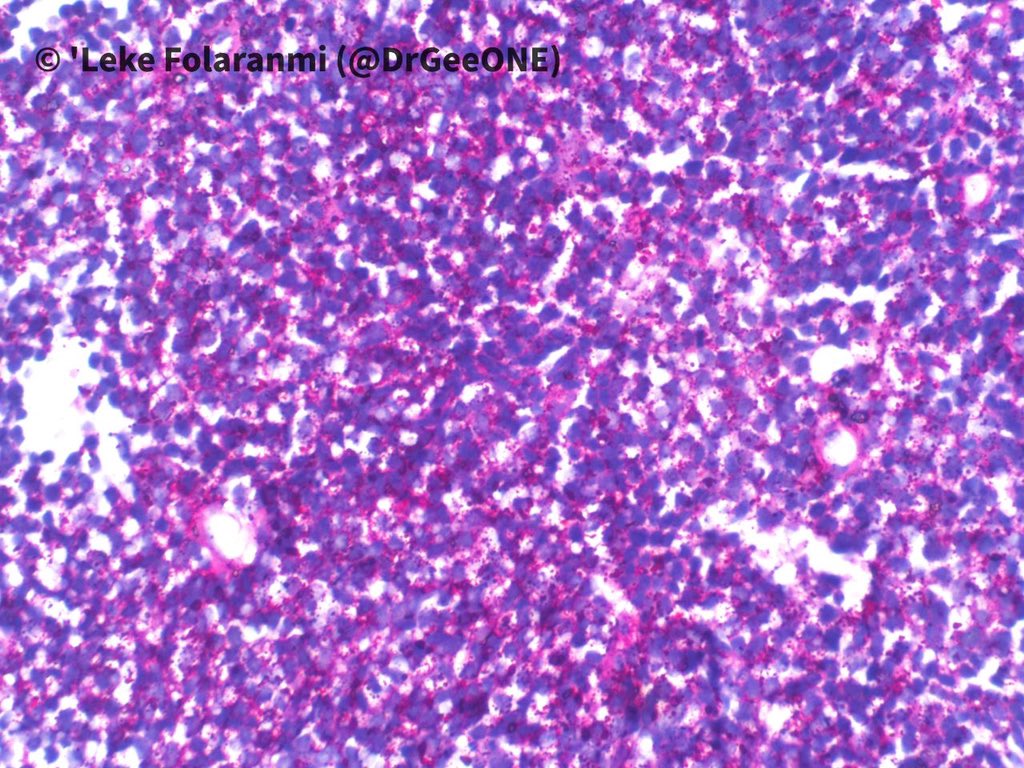
2/2
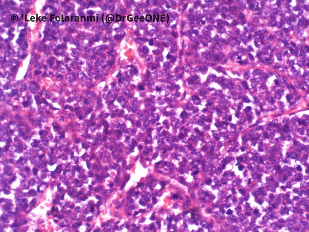
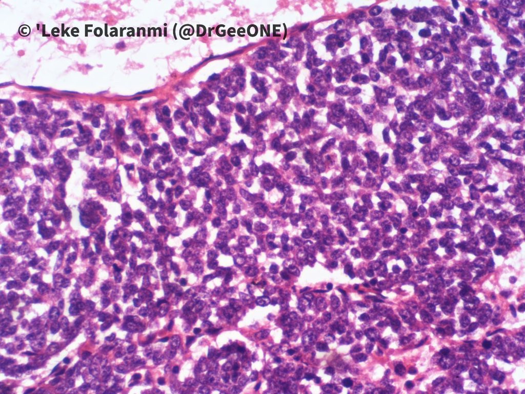
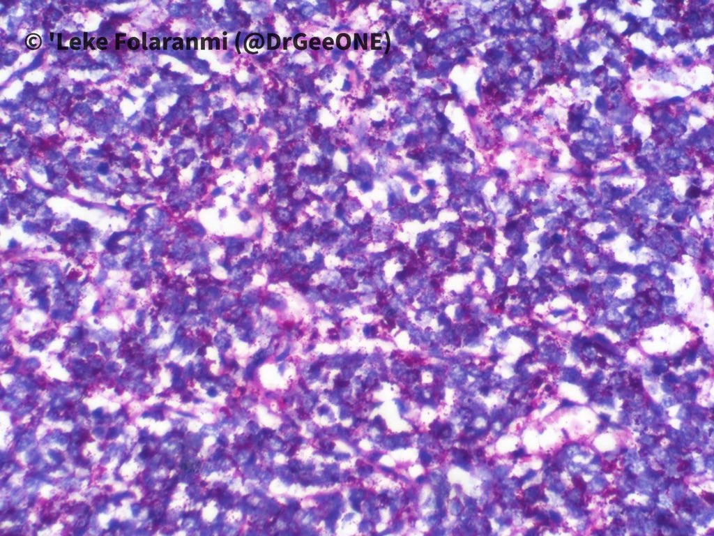
High power pictures of H/E and PAS sections

Our list of differentials:
-Ewing Sarcoma
-DSRCT
-Synovial Sarcoma
-Mesenchymal chondrosarcoma
You can follow @DrGeeONE.
Tip: mention @twtextapp on a Twitter thread with the keyword “unroll” to get a link to it.

Latest Threads Unrolled:

By continuing to use the site, you are consenting to the use of cookies as explained in our Cookie Policy to improve your experience.