Young adult stab to left chest. BP 116/64, HR 108. Alert, talking. FAST exam done. #POCUS #FOAMed #FOAMus #FOAMcc #MedEd #echofirst @ACEP_EUS @PhilipsPOCUS @cianmcdermott @grepmeded @jminardi21 @HeyDrNik @ten8suited @tomkehrl @thepocusatlas
Has Large echogenic hemopericardium. Amazing that patient is awake, alert, talking and has BP 116/64 despite rapid accumulation of such a large amount of pericardial blood. To OR emergently-did well.
Another case. Healthy young male with GSW rt lateral chest-no exit. A/O x 3. Stable BP with mild tachycardia. Has small hemopericardium seen on SC window along right side of heart. Presence of hemopericardium more important factor than size in penetrating cardiac injury
Do not minimize the significance of a small pericardial effusion in these trauma patients with concern for penetrating cardiac injury. Of note, the bilateral hemothoraces were detected on eFAST exam. This patient never hypotensive-taken to CT enroute to OR. Good outcome.
Another case. GSW to left chest. Prehospital arrest. Note has hemopericardium-isoechoic to liver parenchyma. Beware of echogenic/isoechoic effusions. Hemopericardium can be echogenic in acute setting.
Faint movement of myocardium but not effective contractility. Should findings on pericardial window of FAST exam play a role in decision to perform thoracotomy?
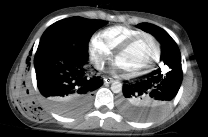
Another case. GSW right lateral chest. Witnessed arrest by EMS. Again, this patient had echogenic hemopericardium seen. No effective contractility. Bullet frag noted near LV wall.
Article: Utility of FAST exam in traumatic arrest-penetrating cardiac injury. https://pubmed.ncbi.nlm.nih.gov/22743379/?from_term=traumatic+arrest+penetrating+cardiac+injury+diagnosis&from_pos=10
Likelihood of survival after thoracotomy zero if had no cardiac activity and no hemopericardium in this study https://pubmed.ncbi.nlm.nih.gov/26258320/?from_term=FAST+exam+traumatic+arrest+penetrating+cardiac+injury&from_pos=3
Article: Caveat on FAST exam in penetrating cardiac injuries. Don't let negative pericardial window r/o diagnosis--may have decompression into thoracic cavity. https://pubmed.ncbi.nlm.nih.gov/19901678/?from_term=FAST+exam+penetrating+cardiac+injury+hemopericardium&from_pos=3
Read on Twitter