Monday Morning Consult
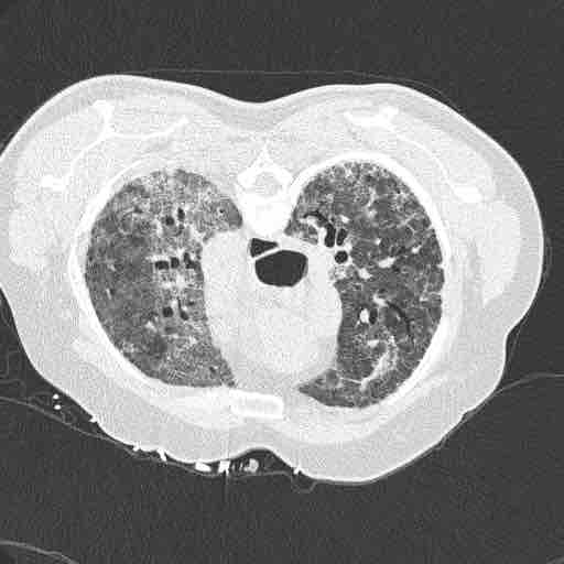
A pulmonologist colleague shows you this CT chest (photo).
Who is the host?
What is the syndrome?
What is the risk factor?
What is the pathogen?
Details and MCQ later.....
A pulmonologist colleague shows you this CT chest (photo).
Who is the host?
What is the syndrome?
What is the risk factor?
What is the pathogen?
Details and MCQ later.....
70M. CLL. ILD. No Rx.
6w ago: dyspnea, cough, no sputum
Rx: High-dose steroids with prolonged taper for ILD exacerbation. No response.
6d ago: dyspnea worsen. 3L NC to >92% O2 sat.
No fever. Easy fatigability.
You suspect PJP and start TMP-SMX. What is TRUE in this case?
6w ago: dyspnea, cough, no sputum
Rx: High-dose steroids with prolonged taper for ILD exacerbation. No response.
6d ago: dyspnea worsen. 3L NC to >92% O2 sat.
No fever. Easy fatigability.
You suspect PJP and start TMP-SMX. What is TRUE in this case?
1/
Case diagnosis: #Pneumocystis jirovecii pneumonia
Host/risk factor: elderly man. CLL. ILD Rx with steroids.
Diagnostics: BAL PJP smear+ PCR+
Rx: TMP-SMX
Case diagnosis: #Pneumocystis jirovecii pneumonia
Host/risk factor: elderly man. CLL. ILD Rx with steroids.
Diagnostics: BAL PJP smear+ PCR+
Rx: TMP-SMX
2/
Diagnosis: #PJP #PCP
1. PCR / smear of respiratory specimen
2. Serum BDG supports diagnosis
In this study, PCR was more sensitive than direct fluorescent microscopy in pts with compatible symptoms
Important in nonHIV patients with lower PJP load
https://doi.org/10.1016/j.diagmicrobio.2010.10.021
Diagnosis: #PJP #PCP
1. PCR / smear of respiratory specimen
2. Serum BDG supports diagnosis
In this study, PCR was more sensitive than direct fluorescent microscopy in pts with compatible symptoms
Important in nonHIV patients with lower PJP load
https://doi.org/10.1016/j.diagmicrobio.2010.10.021
3/
#Pneumocystis
Load in non-HIV patients are lower than patients with AIDS https://www.sciencedirect.com/science/article/pii/S0012369218306482
#Pneumocystis
Load in non-HIV patients are lower than patients with AIDS https://www.sciencedirect.com/science/article/pii/S0012369218306482
4/
BDG and #Pneumocystis
In patients with clinical syndrome, BDG (>200 pg/mL) was associated with clinically-significant PCP.
Note: BDG is not specific!
serum BDG is present in most fungi, except mucormycosis, Blastomycosis, Cryptococcus. https://doi.org/10.1093/cid/ciy1072
BDG and #Pneumocystis
In patients with clinical syndrome, BDG (>200 pg/mL) was associated with clinically-significant PCP.
Note: BDG is not specific!
serum BDG is present in most fungi, except mucormycosis, Blastomycosis, Cryptococcus. https://doi.org/10.1093/cid/ciy1072
5/
#Pneumocystis in non-HIV patients
Role of steroids controversial
In this study of 323 non-HIV patients, steroid use was asstd with less improvement in SOFA at D5. No difference in mortality/outcomes between steroids vs. no steroids. @pwierusz
https://doi.org/10.1016/j.chest.2018.04.026
#Pneumocystis in non-HIV patients
Role of steroids controversial
In this study of 323 non-HIV patients, steroid use was asstd with less improvement in SOFA at D5. No difference in mortality/outcomes between steroids vs. no steroids. @pwierusz
https://doi.org/10.1016/j.chest.2018.04.026
/6
#Pneumocystis jirovecii pneumoniae
62% got the proposed answer correctly: PCR is more sensitive than smear
BDG only supports Dx. Can be elevated in other fungal diseases.
PJP load lower in non-HIV patients
Steroid has not been proven to improve outcome in nonHIV patients
#Pneumocystis jirovecii pneumoniae
62% got the proposed answer correctly: PCR is more sensitive than smear
BDG only supports Dx. Can be elevated in other fungal diseases.
PJP load lower in non-HIV patients
Steroid has not been proven to improve outcome in nonHIV patients
Read on Twitter