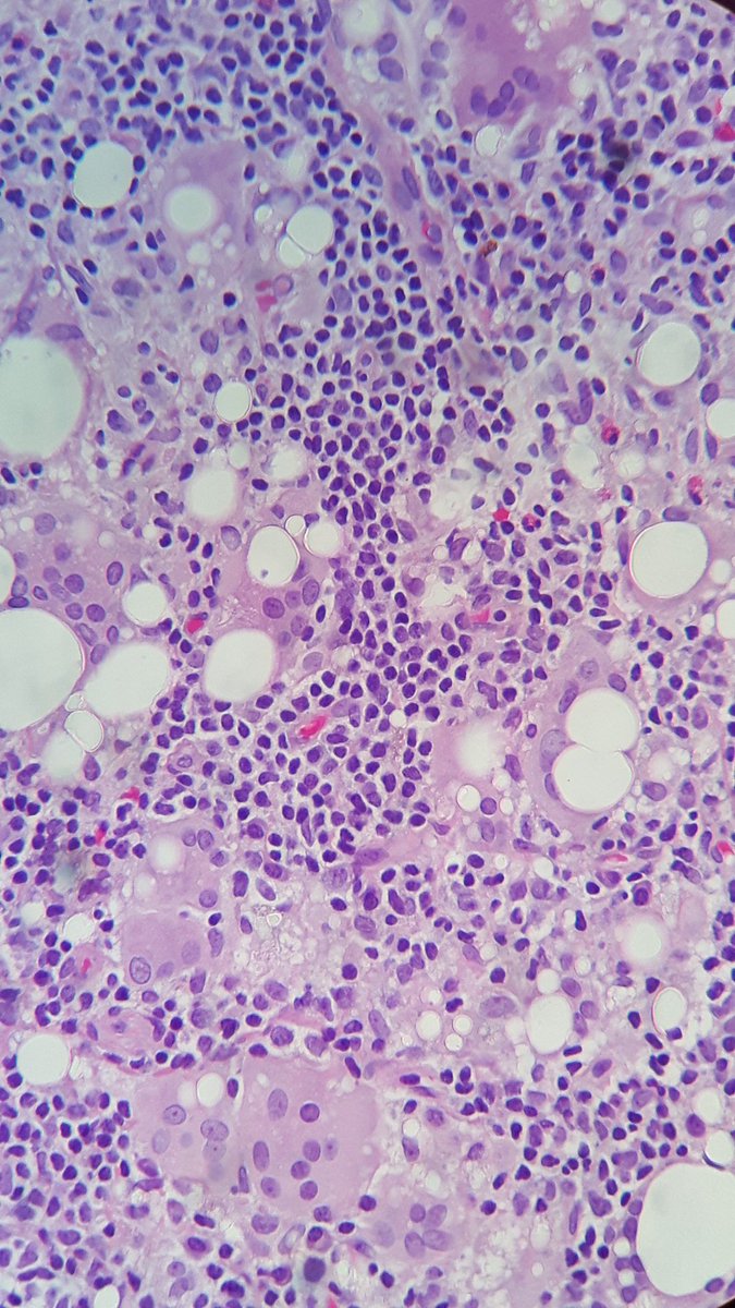
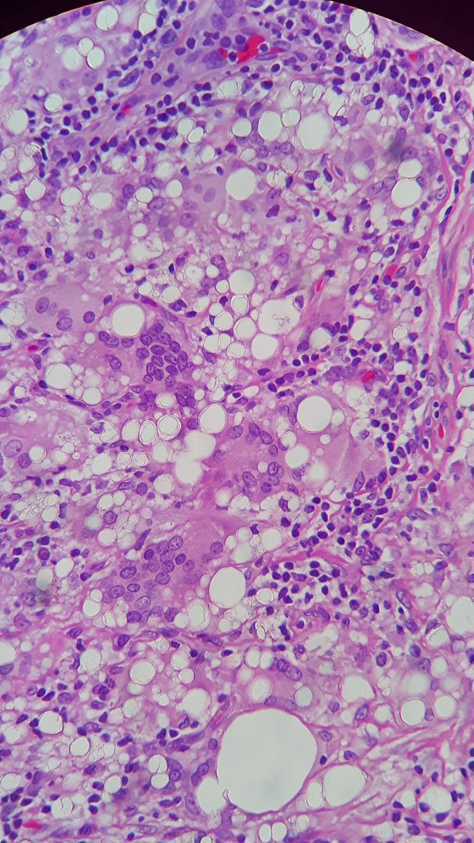
♀ axilar lymph node. When you cut it, translucent & sticky material. Your guess? #grossognosis @SEAP_IAP
Micropics for all the #pathtcuriosus & @ariella8
You can follow @crazylymphocite.
Tip: mention @twtextapp on a Twitter thread with the keyword “unroll” to get a link to it.

Latest Threads Unrolled:

By continuing to use the site, you are consenting to the use of cookies as explained in our Cookie Policy to improve your experience.